Mixed adenoneuroendocrine carcinoma of cecum: a rare entity
- PMID: 23607079
- PMCID: PMC3625879
- DOI: 10.4103/2156-7514.107995
Mixed adenoneuroendocrine carcinoma of cecum: a rare entity
Abstract
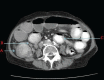
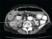
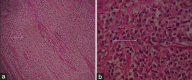
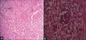
Mixed adenoneuroendocrine carcinoma of cecum (MANEC) was first reported by Cardier in 1924. These tumors are thought to arise from multi-potential stem cells, which have differentiated bidirectionally. Location of the tumor influences the treatment and outcome. We report a rare case of MANEC where the patient presented with abdominal pain and distension. Imaging revealed an ileo colic intussusception with the lead point being a MANEC.
Keywords: Cecum; composite tumor; mixed adenoneuroendocrine carcinoma.
Conflict of interest statement
Figures






References
-
- Klimstra DS, Modlin IR, Coppola D, Lloyd RV, Suster S. The pathologic classification of neuroendocrine tumors: A review of nomenclature, grading, and staging systems. Pancreas. 2010;39:707–12. - PubMed
-
- Suttmann H. A mixed adenocarcinoma and neuroendocrine carcinoma of the rectum associated with an adenocarcinoma of the prostate as a second primary malignancy: Report of a case. Electron J Pathol Histol. 2003;9:32–8.
-
- Bosman FT, Carneiro F, Hruban RH, Theise ND. WHO Classification of Tumours of the Digestive System. 4th ed. Lyon, France: WHO, International Agency for Research on Cancer; 2010. Nomenclature and classification of neuroendocrine neoplasms of the digestive system; p. 13.
Publication types
LinkOut - more resources
Full Text Sources
Other Literature Sources