Internal carotid artery stenosis presenting as ipsilateral posterior cerebral artery ischaemic stroke: a lesson to be learnt
- PMID: 23608851
- PMCID: PMC3645813
- DOI: 10.1136/bcr-2013-008848
Internal carotid artery stenosis presenting as ipsilateral posterior cerebral artery ischaemic stroke: a lesson to be learnt
Abstract
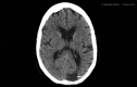
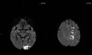
A 71-year-old lady presented with a symptomatic left cerebral occipital lobe infarct. With a history of paroxysmal atrial fibrillation a cardioembolic source was initially postulated. Prior significant bleeding while anticoagulated precluded warfarin therapy. Further investigations revealed a critical left internal carotid stenosis with a persistent fetal origin of the left posterior cerebral artery. She was successfully treated surgically and suffered no further ischaemic events. Physicians encountering posterior circulation stroke should be aware of this potentially treatable important diagnosis.
Figures





References
-
- Dimmick SJ, Faulder KC. Normal variants of the cerebral circulation at multidetector CT angiography. Radiographics 2009;2013:1027–43 - PubMed
-
- De Monye C, Dippel DW, Siepman TA, et al. Is a fetal origin of the posterior cerebral artery a risk factor for TIA or ischemic stroke? A study with 16-multidetector-row CT angiography. J Neurol 2008;2013:239–45 - PubMed
-
- Jongen JC, Franke CL, Ramos LM, et al. Direction of flow in posterior communicating artery on magnetic resonance angiography in patients with occipital lobe infarcts. Stroke 2004;2013:104–8 - PubMed
-
- Pessin MS, Kwan ES, Scott RM, et al. Occipital infarction with hemianopsia from carotid occlusive disease. Stroke 1989;2013:409–11 - PubMed
Publication types
MeSH terms
LinkOut - more resources
Full Text Sources
Other Literature Sources