Animal models of human prostate cancer: the consensus report of the New York meeting of the Mouse Models of Human Cancers Consortium Prostate Pathology Committee
- PMID: 23610450
- PMCID: PMC3644021
- DOI: 10.1158/0008-5472.CAN-12-4213
Animal models of human prostate cancer: the consensus report of the New York meeting of the Mouse Models of Human Cancers Consortium Prostate Pathology Committee
Abstract
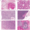
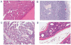
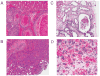
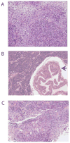
Animal models, particularly mouse models, play a central role in the study of the etiology, prevention, and treatment of human prostate cancer. While tissue culture models are extremely useful in understanding the biology of prostate cancer, they cannot recapitulate the complex cellular interactions within the tumor microenvironment that play a key role in cancer initiation and progression. The National Cancer Institute (NCI) Mouse Models of Human Cancers Consortium convened a group of human and veterinary pathologists to review the current animal models of prostate cancer and make recommendations about the pathologic analysis of these models. More than 40 different models with 439 samples were reviewed, including genetically engineered mouse models, xenograft, rat, and canine models. Numerous relevant models have been developed over the past 15 years, and each approach has strengths and weaknesses. Analysis of multiple genetically engineered models has shown that reactive stroma formation is present in all the models developing invasive carcinomas. In addition, numerous models with multiple genetic alterations display aggressive phenotypes characterized by sarcomatoid carcinomas and metastases, which is presumably a histologic manifestation of epithelial-mesenchymal transition. The significant progress in development of improved models of prostate cancer has already accelerated our understanding of the complex biology of prostate cancer and promises to enhance development of new approaches to prevention, detection, and treatment of this common malignancy.
Figures








References
-
- Bavik C, Coleman I, Dean JP, Knudsen B, Plymate S, Nelson PS. The gene expression program of prostate fibroblast senescence modulates neoplastic epithelial cell 1proliferation through paracrine mechanisms. Cancer Res. 2006;66:794–802. - PubMed
Publication types
MeSH terms
Grants and funding
- P30 CA093373/CA/NCI NIH HHS/United States
- P20 CA103698/CA/NCI NIH HHS/United States
- U01 CA141497/CA/NCI NIH HHS/United States
- P30CA125123/CA/NCI NIH HHS/United States
- P30 CA069533/CA/NCI NIH HHS/United States
- U01 CA141582/CA/NCI NIH HHS/United States
- P30 CA014520/CA/NCI NIH HHS/United States
- P01 CA89021/CA/NCI NIH HHS/United States
- R01 CA131945/CA/NCI NIH HHS/United States
- P30 CA125123/CA/NCI NIH HHS/United States
- U01 CA105490/CA/NCI NIH HHS/United States
- P30 CA069533 13S5/CA/NCI NIH HHS/United States
- P01 CA089021/CA/NCI NIH HHS/United States
- U01CA141497/CA/NCI NIH HHS/United States
- R01 CA169172/CA/NCI NIH HHS/United States
LinkOut - more resources
Full Text Sources
Other Literature Sources
Medical
Molecular Biology Databases
Miscellaneous