Imaging of pancreatic ductal adenocarcinoma: State of the art
- PMID: 23671746
- PMCID: PMC3650210
- DOI: 10.4329/wjr.v5.i3.98
Imaging of pancreatic ductal adenocarcinoma: State of the art
Abstract
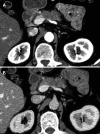
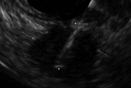
Significant advances in imaging technology have changed the management of pancreatic cancer. In computed tomography (CT), this has included development of multidetector row, rapid, thin-section imaging that has also facilitated the advent of advanced reconstructions, which in turn has offered new perspectives from which to evaluate this disease. In magnetic resonance imaging, advances including higher field strengths, thin-section volumetric acquisitions, diffusion weighted imaging, and liver specific contrast agents have also resulted in new tools for diagnosis and staging. Endoscopic ultrasound has resulted in the ability to provide high-resolution imaging rivaling intraoperative ultrasound, along with the ability to biopsy via real time imaging suspected pancreatic lesions. Positron emission tomography with CT, while still evolving in its role, provides whole body staging as well as the unique imaging characteristic of metabolic activity to aid disease management. This article will review these modalities in the diagnosis and staging of pancreatic cancer.
Keywords: Diffusion; Endoscopic ultrasound; Magnetic resonance imaging; Multidetector row computed tomography; Pancreatic ductal adenocarcinoma; Positron emission tomography with computed tomography.
Figures







References
-
- Cancer Statistics Presentation 2009. Available from: http://www.cancer.org/acs/groups/content/@nho/documents/document/cancers....
-
- Conlon KC, Aremu MA. Pancreas Cancer: Anatomy, Staging Systems, and Techniques. In: Kelsen DP, Daly JM, Kern SE, Levin B, Tepper JE, et al., editors. Principles and practice of gastrointestinal oncology. 2nd ed. Philadelphia: Lippincott Williams and Wilkins; 2008. p. 1008.
-
- Jemal A, Siegel R, Ward E, Murray T, Xu J, Thun MJ. Cancer statistics, 2007. CA Cancer J Clin. 2007;57:43–66. - PubMed
-
- Ries LAG, Melbert D, Krapcho M, Mariotto A, Miller BA, Feuer EJ, Clegg L, Horner MJ, Howlader N, Eisner MP, et al. SEER Cancer Statistics Review, 1975-2004. Available from: http://seer.cancer.gov/csr/1975_2004/
LinkOut - more resources
Full Text Sources
Other Literature Sources