The percutaneous stabilisation of the sacroiliac joint with hollow modular anchorage screws: a prospective outcome study
- PMID: 23686478
- PMCID: PMC3804714
- DOI: 10.1007/s00586-013-2825-2
The percutaneous stabilisation of the sacroiliac joint with hollow modular anchorage screws: a prospective outcome study
Abstract
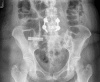
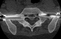
Purpose: The use of percutaneous iliosacral screw fixation as a treatment of sacroiliac joint pain has been reported to be successful. This study was a prospective single surgeon series to evaluate the short-term outcomes of patients who underwent percutaneous sacroiliac joint stabilisation.
Methods: Between July 2004 and February 2011, 73 patients underwent percutaneous sacroiliac joint fusion in our unit. All patients completed a short form (SF)-36 questionnaire, visual analogue pain score and Majeed scoring questionnaire prior to treatment and at last follow-up.
Results: 55 patients (9 male and 46 female) completed follow-up. The average follow-up period was for 36.18 months (range 12-84). The mean preoperative SF-36 scores were 26.59 for physical health and 40.38 for mental health. The mean postoperative SF-36 scores were 42.93 for physical health and 52.77 for mental health. The mean visual analogue pain scores were 8.1 preoperative and 4.5 postoperative. The mean pelvic specific scoring were 36.9 preoperative and 64.78 postoperative. We noted that patients who had previous instrumented spinal surgery did significantly worse than those who had not. We had two nerve root-related complications.
Conclusion: We conclude that in selected patient group who respond positively to CT-guided injection, a percutaneous SI joint stabilisation is beneficial in effecting pain relief and functional improvement.
Figures
Comment in
-
Reviewer's comment concerning "The percutaneous stabilization of the sacroiliac joint with hollow modular anchorage screws: a prospective outcome study" (ESJO-D-12-01011R1 by Lyndon W. Mason, Iqroop Chopra and Khitish Mohanty, doi:10.1007/s00586-013-2825-2).Eur Spine J. 2013 Oct;22(10):2332. doi: 10.1007/s00586-013-2884-4. Epub 2013 Jun 28. Eur Spine J. 2013. PMID: 23812686 Free PMC article. No abstract available.
References
-
- Smith-Peterson MN. Arthrodesis of the sacroiliac joint. A new method of approach. J Orthop Surg. 1921;3:400–405.
-
- Khurana A, Guha AR, Mohanty K, Ahuja S. Percutaneous fusion of the sacroiliac joint with hollow modular anchorage screws: clinical and radiological outcome. J Bone Joint Surg Br. 2009;91(5):627–631. - PubMed
Publication types
MeSH terms
LinkOut - more resources
Full Text Sources
Other Literature Sources
