Usefulness of routine head ultrasound scans before surgery for congenital heart disease
- PMID: 23690521
- PMCID: PMC3666114
- DOI: 10.1542/peds.2012-3734
Usefulness of routine head ultrasound scans before surgery for congenital heart disease
Abstract
Objective: The purpose of this study was to assess the utility of preoperative head ultrasound scan (HUS) in a cohort of newborns also undergoing preoperative MRI as part of a prospective research study of brain injury in infants having surgery for congenital heart disease (CHD).
Methods: A total of 167 infants diagnosed with CHD were included in this 3-center study. None of the patients had clinical signs or symptoms of preoperative brain injury, and all patients received both HUS and brain MRI before undergoing surgical intervention. HUS and MRI results were reported by experienced neuroradiologists who were blinded to any specific clinical details of the study participants. The findings of the individual imaging modes were compared to evaluate for the presence of brain injury.
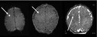
Results: Preoperative brain injury was present on HUS in 5 infants (3%) and on MRI in 44 infants (26%) (P < .001). Four of the HUS showed intraventricular hemorrhage not seen on MRI, suggesting false-positive results, and the fifth showed periventricular leukomalacia. The predominant MRI abnormality was white matter injury (n = 32). Other findings included infarct (n = 16) and hemorrhage (n = 5).
Conclusions: Preoperative brain injury on MRI was present in 26% of infants with CHD, but only 3% had any evidence of brain injury on HUS. Among positive HUS, 80% were false-positive results. Our findings suggest that routine HUS is not indicated in asymptomatic term or near-term neonates undergoing surgery for CHD, and MRI may be a preferable tool when the assessment of these infants is warranted.
Keywords: MRI; brain imaging; congenital heart disease; head ultrasound; neonate.
Figures
 
              
              
              
              
                
                
                References
- 
    - Bellinger DC, Wypij D, duPlessis AJ, et al. . Neurodevelopmental status at eight years in children with dextro-transposition of the great arteries: the Boston Circulatory Arrest Trial. J Thorac Cardiovasc Surg. 2003;126(5):1385–1396 - PubMed
 
- 
    - Shillingford AJ, Glanzman MM, Ittenbach RF, Clancy RR, Gaynor JW, Wernovsky G. Inattention, hyperactivity, and school performance in a population of school-age children with complex congenital heart disease. Pediatrics. 2008;121(4). Available at: www.pediatrics.org/cgi/content/full/121/4/e759 - PubMed
 
- 
    - McGrath E, Wypij D, Rappaport LA, Newburger JW, Bellinger DC. Prediction of IQ and achievement at age 8 years from neurodevelopmental status at age 1 year in children with D-transposition of the great arteries. Pediatrics. 2004;114(5). Available at: www.pediatrics.org/cgi/content/full/114/5/e572 - PubMed
 
- 
    - Snookes SH, Gunn JK, Eldridge BJ, et al. . A systematic review of motor and cognitive outcomes after early surgery for congenital heart disease. Pediatrics. 2010;125(4). Available at: www.pediatrics.org/cgi/content/full/125/4/e818 - PubMed
 
Publication types
MeSH terms
Grants and funding
LinkOut - more resources
- Full Text Sources
- Other Literature Sources
- Medical
 
        