Gastric remnant necrosis following splenic infarction after distal gastrectomy in a gastric cancer patient
- PMID: 23702363
- PMCID: PMC3679438
- DOI: 10.1016/j.ijscr.2013.03.034
Gastric remnant necrosis following splenic infarction after distal gastrectomy in a gastric cancer patient
Abstract
Introduction: Distal gastrectomy with lymph node dissection is the standard treatment for gastric cancer. Remnant gastric necrosis after distal gastrectomy is very rare and fatal complication.
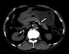
Presentation of case: A-78-year-old male diagnosed with advanced gastric cancer underwent distal gastrectomy with lymph node dissection. Postoperative gastric remnant necrosis occurred following splenic infarction. There was thought to be an insufficient blood supply to the gastric remnant due to the lymph node dissection along the proximal splenic artery during the initial surgery. Non-contrast abdominal computed tomography did not reveal any necrosis in the remnant stomach. An endoscopic examination confirmed this diagnosis. Total remnant gastrectomy was performed, and the patient thereafter successfully recovered.
Discussion: Careful management of blood vessels and lymph node dissection above the pancreas should be performed to avoid restricting the blood flow and also to prevent gastric remnant necrosis.
Conclusion: The knowledge of this fatal complication is crucial for management of postoperative complication. For early and accurate diagnosis, upper gastrointestinal endoscopy is necessary in case of remnant gastric necrosis.
Copyright © 2013 Surgical Associates Ltd. Published by Elsevier Ltd. All rights reserved.
Figures






References
-
- Sasako M., Inoue M., Lin J.T., Khor C., Yang H.K., Ohtsu A. Gastric cancer working group report. Japanese Journal of Clinical Oncology. 2010;40:i28–i37. - PubMed
-
- Jacobson E.D. The circulation of the stomach. Gastroenterology. 1965;48(January):85–109. - PubMed
-
- Abdu R.A., Garritano D., Culver O. Acute gastric necrosis in anorexia nervosa and bulimia. Two case reports. Archives of Surgery. 1987;122:830–832. - PubMed
-
- Garfinkle S.E., Matolo N.M. Gastric necrosis from blunt abdominal trauma. Journal of Trauma. 1976;16:405–407. - PubMed
-
- Patel R.M., Desoto-LaPaix F., Mallaiah L.R. Gastric infarction: a complication of endocarditis due to Staphylococcus aureus. Journal of Clinical Gastroenterology. 1983;5:159–163. - PubMed
LinkOut - more resources
Full Text Sources
Other Literature Sources
Research Materials