Tracheal wall thickening is associated with the granulation tissue formation around silicone stents in patients with post-tuberculosis tracheal stenosis
- PMID: 23709431
- PMCID: PMC3663217
- DOI: 10.3349/ymj.2013.54.4.949
Tracheal wall thickening is associated with the granulation tissue formation around silicone stents in patients with post-tuberculosis tracheal stenosis
Abstract
Purpose: Tracheal restenosis due to excessive granulation tissue around a silicone stent requires repeated bronchoscopic interventions in patients with post-tuberculosis tracheal stenosis (PTTS). The current study was conducted to identify the risk factors for granulation tissue formation after silicone stenting in PTTS patients.
Materials and methods: A retrospective study was conducted between January 1998 and December 2010. Forty-two PTTS patients with silicone stenting were selected. Clinical and radiological variables were retrospectively collected and analyzed.
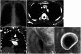
Results: Tracheal restenosis due to granulation tissue formation were found in 20 patients (47.6%), and repeated bronchoscopic interventions were conducted. In multivariate analysis, tracheal wall thickness, measured on axial computed tomography scan, was independently associated with granulation tissue formation after silicone stenting. Furthermore, the degree of tracheal wall thickness was well correlated with the degree of granulation tissue formation.
Conclusion: Tracheal wall thickening was associated with granulation tissue formation around silicone stents in patients with post-tuberculosis tracheal stenosis.
Keywords: Trachea; bronchoscopy; intervention; stenosis; stents; tuberculosis.
Conflict of interest statement
The authors have no financial conflicts of interest.
Figures



References
-
- Um SW, Yoon YS, Lee SM, Yim JJ, Yoo CG, Chung HS, et al. Predictors of persistent airway stenosis in patients with endobronchial tuberculosis. Int J Tuberc Lung Dis. 2008;12:57–62. - PubMed
-
- Chung HS, Lee JH. Bronchoscopic assessment of the evolution of endobronchial tuberculosis. Chest. 2000;117:385–392. - PubMed
-
- Rikimaru T. Endobronchial tuberculosis. Expert Rev Anti Infect Ther. 2004;2:245–251. - PubMed
-
- Shim YS. Endobronchial tuberculosis. Respirology. 1996;1:95–106. - PubMed
-
- Kim H. Stenting therapy for stenosing airway disease. Respirology. 1998;3:221–228. - PubMed
Publication types
MeSH terms
Substances
LinkOut - more resources
Full Text Sources
Other Literature Sources
Medical