Ectopic lingual thyroid
- PMID: 23723588
- PMCID: PMC3665141
- DOI: 10.4103/0972-3919.110718
Ectopic lingual thyroid
Abstract
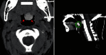
Thyroid ectopy is characterized by the presence of thyroid tissue outside its normal position resulting from a defect of the thyroid diverticulum migration from the base of the tongue until its final pre-tracheal position. One case is presented in a 12-year-old girl patient who consults for a failure to thrive estimated at less than three standard deviations (SD). Bone age was estimated at 8 years late compared to chronological age. The hormonal assessment showed hypothyroidism with negative thyroid antibodies. Cervical ultrasound was revealed thyroid parenchyma pre-dominantly left in place while sweeping the area under chin showed a nodular formation of the base of the tongue. Thyroid scan with technetium 99 m showed a selective uptake of radiotracer in sublingual position. Cervical computed tomography revealed a posterior median sublingual mass spontaneously hyperdense and enhancing sharply after injection of contrast. Treatment with thyroxine allowed obtaining euthyroidism. This case asks us to be careful before aetiological diagnosis of hypothyroidism in children, because although this is rare, the presence of a thyroid parenchyma up to the cervical ultrasound does not eliminate the presence of ectopic tissue.
Keywords: Dysphagia; hypothyroidism; lingual thyroid; thyroid scan.
Conflict of interest statement
Figures
References
-
- Klubo-Gwiezdzinska J, Manes RP, Chia SH, Burman KD, Stathatos NA, Deeb ZE, et al. Clinical review: Ectopic cervical thyroid carcinoma – Review of the literature with illustrative case series. J Clin Endocrinol Metab. 2011;96:2684–91. - PubMed
-
- Thuillier F, Venot J. Ectopic thyroid tissue in the anterior mediastinum with a normally located gland: A case report. Ann Endocrinol (Paris) 2012;73:34–6. - PubMed
-
- Kutz M, Vila JJ, Urman JM, Garaigorta M, Guinduláin E, Tarifa A, et al. Ectopic retroperitoneal thyroid gland. Gastroenterol Hepatol. 2012;35:400–3. - PubMed
-
- Pelizzo MR, Torresan F, Grassetto G, Briani G, Marzola MC, Rubello D. Imaging identifies submandibular ectopic thyroid tissue. Clin Nucl Med. 2011;36:728–30. - PubMed
