New Delhi metallo-β-lactamase-producing Enterobacteriaceae, United States
- PMID: 23731823
- PMCID: PMC3713825
- DOI: 10.3201/eid1906.121515
New Delhi metallo-β-lactamase-producing Enterobacteriaceae, United States
Abstract
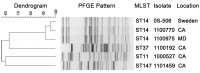
We characterized 9 New Delhi metallo-β-lactamase-producing Enterobacteriaceae (5 Klebsiella pneumoniae, 2 Escherichia coli, 1 Enterobacter cloacae, 1 Salmonella enterica serovar Senftenberg) isolates identified in the United States and cultured from 8 patients in 5 states during April 2009-March 2011. Isolates were resistant to β-lactams, fluoroquinolones, and aminoglycosides, demonstrated MICs ≤1 µg/mL of colistin and polymyxin, and yielded positive metallo-β-lactamase screening results. Eight isolates had blaNDM-1, and 1 isolate had a novel allele (blaNDM-6). All 8 patients had recently been in India or Pakistan, where 6 received inpatient health care. Plasmids carrying blaNDM frequently carried AmpC or extended spectrum β-lactamase genes. Two K. pneumoniae isolates and a K. pneumoniae isolate from Sweden shared incompatibility group A/C plasmids with indistinguishable restriction patterns and a common blaNDM fragment; all 3 were multilocus sequence type 14. Restriction profiles of the remaining New Delhi metallo-β-lactamase plasmids, including 2 from the same patient, were diverse.
Keywords: Enterobacteriaceae; NDM; New Delhi metallo-β-lactamase; United States; antimicrobial resistance; bacteria; carbapenem resistance; carbapenemase.
Figures


References
-
- Kitchel B, Rasheed JK, Patel JB, Srinivasan A, Navon-Venezia S, Carmeli Y, et al. Molecular epidemiology of KPC-producing Klebsiella pneumoniae isolates in the United States: clonal expansion of multilocus sequence type 258. Antimicrob Agents Chemother. 2009;53:3365–70. 10.1128/AAC.00126-09 - DOI - PMC - PubMed
MeSH terms
Substances
LinkOut - more resources
Full Text Sources
Other Literature Sources
Miscellaneous