Troponin T3 expression in skeletal and smooth muscle is required for growth and postnatal survival: characterization of Tnnt3(tm2a(KOMP)Wtsi) mice
- PMID: 23775847
- PMCID: PMC3787964
- DOI: 10.1002/dvg.22407
Troponin T3 expression in skeletal and smooth muscle is required for growth and postnatal survival: characterization of Tnnt3(tm2a(KOMP)Wtsi) mice
Abstract
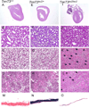
The troponin complex, which consists of three regulatory proteins (troponin C, troponin I, and troponin T), is known to regulate muscle contraction in skeletal and cardiac muscle, but its role in smooth muscle remains controversial. Troponin T3 (TnnT3) is a fast skeletal muscle troponin believed to be expressed only in skeletal muscle cells. To determine the in vivo function and tissue-specific expression of Tnnt3, we obtained the heterozygous Tnnt3+/flox/lacZ mice from Knockout Mouse Project (KOMP) Repository. Tnnt3(lacZ/+) mice are smaller than their WT littermates throughout development but do not display any gross phenotypes. Tnnt3(lacZ/lacZ) embryos are smaller than heterozygotes and die shortly after birth. Histology revealed hemorrhagic tissue in Tnnt3(lacZ/lacZ) liver and kidney, which was not present in Tnnt3(lacZ/+) or WT, but no other gross tissue abnormalities. X-gal staining for Tnnt3 promoter-driven lacZ transgene expression revealed positive staining in skeletal muscle and diaphragm and smooth muscle cells located in the aorta, bladder, and bronchus. Collectively, these findings suggest that troponins are expressed in smooth muscle and are required for normal growth and breathing for postnatal survival. Moreover, future studies with this mouse model can explore TnnT3 function in adult muscle function using the conditional-inducible gene deletion approach
Keywords: development; knockout mice; muscle; troponin.
Copyright © 2013 Wiley Periodicals, Inc.
Figures






References
Publication types
MeSH terms
Substances
Grants and funding
LinkOut - more resources
Full Text Sources
Other Literature Sources
Molecular Biology Databases