Primary and posttraumatic arthritis of the elbow
- PMID: 23781338
- PMCID: PMC3678412
- DOI: 10.1155/2013/473259
Primary and posttraumatic arthritis of the elbow
Abstract
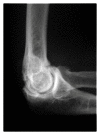
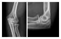
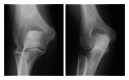
Whether degenerative joint disease of the elbow may be the result of primary or posttraumatic etiologies, arthritis of the elbow commonly leads to pain, loss of motion, and functional disability. A detailed history and focused physical examination, in combination with imaging modalities, can help localize the origin of symptoms and help direct treatment. Although nonoperative treatment is the initial therapy for arthritis of the elbow, surgical interventions may provide substantial relief to the appropriately selected patient.
Figures





References
-
- Cheung EV, Adams R, Morrey BF. Primary osteoarthritis of the elbow: current treatment options. Journal of the American Academy of Orthopaedic Surgeons. 2008;16(2):77–87. - PubMed
-
- Gallo RA, Payatakes A, Sotereanos DG. Surgical Options for the Arthritic Elbow. Journal of Hand Surgery. 2008;33(5):746–759. - PubMed
-
- O’Driscoll SW. Classification and evaluation of recurrent instability of the elbow. Clinical Orthopaedics and Related Research. 2000;(370):34–43. - PubMed
-
- Rettig LA, Hastings H, Feinberg JR. Primary osteoarthritis of the elbow: lack of radiographic evidence for morphologic predisposition, results of operative debridement at intermediate follow-up, and basis for a new radiographic classification system. Journal of Shoulder and Elbow Surgery. 2008;17(1):97–105. - PubMed
-
- van Brakel RW, Eygendaal D. Intra-articular injection of hyaluronic acid is not effective for the treatment of post-traumatic osteoarthritis of the elbow. Arthroscopy. 2006;22(11):1199–1203. - PubMed
LinkOut - more resources
Full Text Sources
Other Literature Sources