Dietary fructose induces endotoxemia and hepatic injury in calorically controlled primates
- PMID: 23783298
- PMCID: PMC3712547
- DOI: 10.3945/ajcn.112.057331
Dietary fructose induces endotoxemia and hepatic injury in calorically controlled primates
Abstract
Background: Controversy exists regarding the causative role of dietary fructose in obesity and fatty liver diseases. Clinical trials have indicated that negative health consequences may occur only when fructose is consumed within excess calories. Animal studies have suggested that fructose impairs intestinal integrity and leads to hepatic steatosis (HS).
Objectives: We assessed nonhuman primates after chronic ad libitum and short-term calorically controlled consumption of a high-fructose (HFr), low-fat diet (24% of calories). Microbial translocation (MT), microbiome, and metabolic health indexes were evaluated.
Design: Seventeen monkeys fed 0.3–7 y of an HFr ad libitum diet were compared with 10 monkeys fed a low-fructose, low-fat diet (control). Ten middle-aged, weight-stable, fructose-naive monkeys were stratified into HFr and control groups fed for 6 wk at caloric amounts required to maintain weight stability. Metabolic endpoints, feces, liver, small and large intestinal biopsies, and portal blood samples were collected.
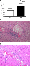
Results: Monkeys allowed ad libitum HFr developed HS in contrast to the control diet, and the extent of ectopic fat was related to the duration of feeding. Diabetes incidence also increased. Monkeys that consumed calorically controlled HFr showed significant increases in biomarkers of liver damage, endotoxemia, and MT indexes and a trend for greater hepatitis that was related to MT; however, HS did not develop.
Conclusions: Even in the absence of weight gain, fructose rapidly causes liver damage that we suggest is secondary to endotoxemia and MT. HS relates to the duration of fructose consumption and total calories consumed. These data support fructose inducing both MT and ectopic fat deposition in primates.
Figures





Comment in
-
Nonhuman primate advances in nutrition research.Am J Clin Nutr. 2013 Aug;98(2):264-5. doi: 10.3945/ajcn.113.067256. Epub 2013 Jul 3. Am J Clin Nutr. 2013. PMID: 23824719 No abstract available.
-
Primate fructose study misses mark due to preventable design flaws.Am J Clin Nutr. 2013 Nov;98(5):1369-70. doi: 10.3945/ajcn.113.072090. Am J Clin Nutr. 2013. PMID: 24142241 No abstract available.
-
Reply to JS White.Am J Clin Nutr. 2013 Nov;98(5):1370. doi: 10.3945/ajcn.113.072264. Am J Clin Nutr. 2013. PMID: 24142242 Free PMC article. No abstract available.
-
Effects of excess dietary fructose on liver pathology study have significant methodologic limitations.Am J Clin Nutr. 2014 Jan;99(1):209. doi: 10.3945/ajcn.113.074625. Am J Clin Nutr. 2014. PMID: 24363256 No abstract available.
-
Reply to KN Litwak and S Levin.Am J Clin Nutr. 2014 Jan;99(1):210. doi: 10.3945/ajcn.113.074633. Am J Clin Nutr. 2014. PMID: 24363257 No abstract available.
References
-
- Ford ES, Schulze MB, Bergmann MM, Thamer C, Joost HG, Boeing H. Liver enzymes and incident diabetes: findings from the European Prospective Investigation into Cancer and Nutrition (EPIC)-Potsdam Study. Diabetes Care 2008;31:1138–43. - PubMed
-
- Sookoian S, Pirola CJ. Non-alcoholic fatty liver disease is strongly associated with carotid atherosclerosis: a systematic review. J Hepatol 2008;49:600–7. - PubMed
-
- Targher G, Day CP, Bonora E. Risk of cardiovascular disease in patients with nonalcoholic fatty liver disease. N Engl J Med 2010;363:1341–50. - PubMed
Publication types
MeSH terms
Substances
Grants and funding
LinkOut - more resources
Full Text Sources
Other Literature Sources
Medical