Creutzfeldt-Jakob disease: a case report and differential diagnoses
- PMID: 23795314
- PMCID: PMC3689509
Creutzfeldt-Jakob disease: a case report and differential diagnoses
Abstract
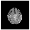
Sporadic Creutzfeldt-Jakob disease is a rare neurodegenerative disorder of unknown etiology that causes rapidly progressive dementia. This disease is uniformly fatal and most patients die within 12 months. Clinical findings include myoclonus, visual disturbances, and cerebellar and pyramidal/extrapyramidal signs in addition to rapidly progressive cognitive and functional impairment. These findings are all non-specific and it is often difficult and challenging to diagnose premortem because of low awareness and clinical suspicion. We present a 66-year-old woman with a 5-month history of rapidly progressive dementia. After a series of extensive diagnostic examinations and continuous follow-up, she was diagnosed with probable sporadic Creutzfeldt-Jakob disease based on Centers for Disease Control and Prevention (CDC) criteria, with key findings of rapidly progressive dementia, blurry vision, extrapyramidal signs (cogwheel rigidity), and abnormal hyperintensity signals on diffusion-weighted MRI. Her symptoms progressively worsened and she died 7 months after the onset. The postmortem brain autopsy demonstrated the presence of abnormal protease-resistant prion protein by Western Blot analysis. A literature review was performed on differential diagnoses that present with rapidly progressive dementia and thereby mimic sporadic Creutzfeldt-Jakob disease. These include Alzheimer's disease, dementia with Lewy Bodies, frontotemporal dementia, meningoencephalitis, corticobasal degeneration, progressive supranuclear palsy, CADASIL, and paraneoplastic encephalomyelitis.
Keywords: prion disease; rapidly progressing dementia; sporadic Creutzfeldt-Jakob disease.
Figures
References
-
- Department of Health and Human Services, Centers for Disease Control and Prevention, CJD (Creutzfeldt-Jakob Disease, Classic), author 2010. [June 1st 2012]. http://www.cdc.gov/ncidod/dvrd/cjd/
-
- Ladogana A, Puopolo M, Croes EA, et al. Mortality from Creutzfeldt-Jakob disease and related disorders in Europe, Australia, and Canada. Neurology. 2005 May 10;64(9):1586–1591. - PubMed
-
- Rabinovici GD, Wang PN, Levin J, et al. First symptom in sporadic Creutzfeldt-Jakob disease. Neurology. 2006 Jan 24;66(2):286–287. - PubMed
-
- Poser S, Mollenhauer B, Kraubeta A, et al. How to improve the clinical diagnosis of Creutzfeldt-Jakob disease. Brain : a journal of neurology. 1999 Dec;122(Pt 12):2345–2351. - PubMed
-
- Mahmoudi R, Manckoundia P, Morrone I, Lang PO, Drame M, Novella JL. Atypical case of Alzheimer's disease mimicking Creutzfeldt-Jakob disease: interest of cerebrospinal fluid biomarkers in the differential diagnosis. Journal of the American Geriatrics Society. 2010 Sep;58(9):1821–1823. - PubMed
Publication types
MeSH terms
Substances
Supplementary concepts
LinkOut - more resources
Full Text Sources
Medical
