Cardiac metastasis of malignant melanoma: a case report
- PMID: 23821495
- PMCID: PMC3890009
- DOI: 10.1007/s12471-013-0441-8
Cardiac metastasis of malignant melanoma: a case report
Abstract
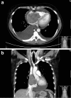
The heart is regularly involved in metastatic neoplasms with cardiac metastases being found in up to 20 % of autopsies. We present a case about a 42-year-old Caucasian female with a fatal metastatic melanoma to the heart. The five- year survival rate for stage IV melanoma (melanoma with metastases to other organs) is 15 to 20 %. If patients with malignant melanoma present with new onset of cardiac symptoms, clinicians should always be aware of the possibility of cardiac metastases and perform further investigations.
Figures


References
-
- Pinho T, Rodrigues-Pereira P, Araujo V, Oliveira NP, Macedo F, Graca A, et al. Cardiac metastasis of melanoma as first manifestation of disease. Rev Port Cardiol. 2009;28:633–9. - PubMed
LinkOut - more resources
Full Text Sources
Other Literature Sources