Fracture of the shoulder girdle in multiply injured patients - an imperative for a high level of suspicion for associated neurovascular injuries
- PMID: 23830143
- PMCID: PMC3717289
- DOI: 10.1186/1754-9493-7-24
Fracture of the shoulder girdle in multiply injured patients - an imperative for a high level of suspicion for associated neurovascular injuries
Abstract
Background: The combination of a bony injury to the shoulder girdle and damage to the brachial plexus and the subclavian vessels is a rare finding. The cases of this combined injury pattern described in the literature are most notably reported in multiply-injured patients after high velocity trauma.
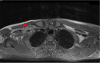
Findings: Three cases were admitted to our hospital after motorcycle accidents resulting in a combination of severe bony injuries to the shoulder girdle, to the subclavian artery and a lesion to the brachial plexus. Based on these three clinical cases the patterns of injury, as well as primary and secondary treatment approaches are presented.
Conclusion: The early detection of these injuries can be difficult in given acute, life threatening injuries addressed first in these multiply injured patients. A high level of suspicion, in conjunction with standardized ATLS based institutional protocols for secondary and tertiary survey, should increase the likelihood of a timely detection and early management of these rare but potentially devastating injuries.
Figures
References
-
- Kaiser R, Mencl L, Haninec P. Injuries associated with serious brachial plexus involvement in polytrauma among patients requiring surgical repair. Injury. 2012. in press. - PubMed
-
- Rumball KM, Da Silva VF, Preston DN, Carruthers CC. Brachial-plexus injury after clavicular fracture: case report and literature review. Can J Surg. 1991;34:264–266. - PubMed
-
- Zelle BA, Pape HC, Gerich TG, Garapati R, Ceylan B, Krettek C. Functional outcome following scapulothoracic dissociation. J Bone Joint Surg Am. 2004;86:2–8. - PubMed
LinkOut - more resources
Full Text Sources
Other Literature Sources
