Primary pleural angiosarcoma in a 63-year-old gentleman
- PMID: 23844302
- PMCID: PMC3697234
- DOI: 10.1155/2013/974567
Primary pleural angiosarcoma in a 63-year-old gentleman
Abstract
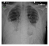
Primary pleural angiosarcomas are extremely rare. As of 2010, only around 50 case reports have been documented in the literature. Herein, we report the case of a 63-year-old gentleman who presented with a 3-month history of right-sided chest pain, dyspnea, and hemoptysis. Chest X-ray showed bilateral pleural effusion with partial bibasilar atelectasis. Ultrasound-guided thoracocentesis showed bloody and exudative pleural fluid. Cytologic examination was negative for malignant cells. An abdominal contrast-enhanced computed tomography (CT) scan showed two right diaphragmatic pleural masses. Whole-body positron emission tomography/computed tomography (PET/CT) scan showed two hypermetabolic fluorodeoxyglucose- (FDG-) avid lesions involving the right diaphragmatic pleura. CT-guided needle-core biopsy was performed and histopathological examination showed neoplastic cells growing mainly in sheets with focal areas suggestive of vascular spaces lined by cytologically malignant epithelioid cells. Immunohistochemical analysis showed strong positivity for vimentin, CD31, CD68, and Fli-1 markers. The overall pathological and immunohistochemical features supported the diagnosis of epithelioid angiosarcoma. The patient was scheduled for surgery in three weeks. Unfortunately, the patient died after one week after discharge secondary to pulseless ventricular tachycardia arrest followed by asystole. Moreover, we also present a brief literature review on pleural angiosarcoma.
Figures





References
-
- Maziak DE, Shamji FM, Peterson R, Perkins DG. Angiosarcoma of the chest wall. Annals of Thoracic Surgery. 1999;67(3):839–841. - PubMed
-
- Alexiou C, Clelland CA, Robinson D, Morgan WE. Primary angiosarcomas of the chest wall and pleura. The European Journal of Cardio-thoracic Surgery. 1998;14(5):523–526. - PubMed
-
- Lorentziadis M, Sourlas A. Primary de novo angiosarcoma of the pleura. Annals of Thoracic Surgery. 2012;93(3):996–998. - PubMed
LinkOut - more resources
Full Text Sources
Other Literature Sources
Research Materials