Small intracranial lipomas may be a frequent finding on computed tomography of the brain. A case series
- PMID: 23859163
- PMCID: PMC5278859
- DOI: 10.1177/197140091302600104
Small intracranial lipomas may be a frequent finding on computed tomography of the brain. A case series
Abstract
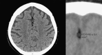
Intracranial lipomas are described as a rare finding. In this small retrospective analysis of 50 cases undergoing brain CT for various reasons small intracranial lipomas where found in nine patients. In contrast to previous reports lipomas may be a frequent finding on CT imaging of the brain. In particular, these small lipomas seem to be incidental findings lacking clinical relevance. Radiologists should be aware of intracranial lipomas to establish proper differential diagnosis.
Figures

References
-
- Taglialatela G Galasso R Taglialatela G et al. Lipomas of the corpus callosum. Neuroanatomy. 2009; 8: 39–42.
-
- Eskandary H Sabba M Khajepour F et al. Incidental findings in brain computed tomography scans of 3000 head trauma patients. Surg Neurol. 2005; 63: 550–553. - PubMed
-
- Truwit CL Barkovich AJ. Pathogenesis of intracranial lipoma: an MR study in 42 patients. AJR Am J Roentgenol. 1990; 155: 855–864. - PubMed
-
- Jabot G Stoquart-Elsankari S Saliou G et al. Intracranial lipomas: clinical appearances on neuroimaging and clinical significance. J Neurol. 2009; 256: 851–855. - PubMed
-
- Yildiz H Hakyemez B Koroglu M et al. Intracranial lipomas: importance of localization. Neuroradiology. 2006; 48: 1–7. - PubMed
Publication types
MeSH terms
LinkOut - more resources
Full Text Sources
Other Literature Sources
Medical