Skip to main page content
U.S. flag

An official website of the United States government

Dot gov

The .gov means it’s official.
Federal government websites often end in .gov or .mil. Before sharing sensitive information, make sure you’re on a federal government site.

Https

The site is secure.
The https:// ensures that you are connecting to the official website and that any information you provide is encrypted and transmitted securely.

Access keys NCBI Homepage MyNCBI Homepage Main Content Main Navigation
Case Reports
. 2013 Jul 17:2013:bcr2013009205.
doi: 10.1136/bcr-2013-009205.

Reversible retinopathy associated with oral deferasirox therapy

Affiliations
Case Reports

Reversible retinopathy associated with oral deferasirox therapy

Harpreet S Walia et al. BMJ Case Rep. .

Abstract

A 17-year-old girl with a history of sickle cell anaemia undergoing chronic blood transfusions and iron-chelation therapy presented for multiple ophthalmic examinations. During treatment with deferoxamine, her examination remained stable but 2 years after changing to deferasirox she presented with decreased visual acuity and only mild funduscopic changes. Marked electrophysiological abnormalities were also evident. After cessation of deferasirox, her visual acuity improved and electrophysiological responses improved. No prior reports of deferasirox-related retinopathy are available. We suggest that oral deferasirox caused a reversible retinopathy in our patient and clinicians be aware of this entity.

PubMed Disclaimer

Figures

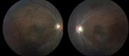
Figure 1
Figure 1
Colour fundus photographs revealing mild macular pigment abnormalities.
Figure 2
Figure 2
Optical coherence tomography with normal foveal architecture.
Figure 3
Figure 3
Fluorescein angiography without vascular filling abnormality.
Figure 4
Figure 4
Fundus autofluorescence with mild retinal pigment epithelium dropout.
Figure 5
Figure 5
ERG with decrease in both rod and cone function and Goldmann visual fields with central scotomas in both eyes.
Figure 6
Figure 6
Repeat ERG with improved electrophysiological responses in both eyes and Goldmann visual fields with mild improvement of scotomas.

References

    1. Brittenham GM. Iron-chelating therapy for transfusional iron overload. N Engl J Med 2011;2013:146–56 - PMC - PubMed
    1. Capellini MD. Long-term efficacy and safety of deferasirox. Blood Rev 2008;2013:S35–41 - PubMed
    1. Kontoghiorghes GJ. Turning a blind eye to deferasirox's toxicity? Lancet 2013;2013:1183–4 - PubMed
    1. Pall H, Blake DR, Winyard P, et al. Ocular toxicity of desferoxamine: an example of copper promoted auto-oxidative damage? Br J Ophthalmol 1989;2013:42–7 - PMC - PubMed
    1. Haimovici R, D'Amico DJ, Gragoudas ES, et al. for the Deferoxamine Retinopathy Study Group. The expanded clinical spectrum of deferoxamine retinopathy. Ophthalmology 2002;2013:164–71 - PubMed

Publication types