Gonadal dysgenesis and the Mayer-Rokitansky-Kuster-Hauser Syndrome in a girl with a 46, XX karyotype: A case report and review of literature
- PMID: 23869310
- PMCID: PMC3712384
- DOI: 10.4103/2230-8210.111663
Gonadal dysgenesis and the Mayer-Rokitansky-Kuster-Hauser Syndrome in a girl with a 46, XX karyotype: A case report and review of literature
Abstract
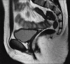
Mayer-Rokitansky-Kuster-Hauser (MRKH) is a characteristic syndrome in which the Mullerian structures are absent or rudimentary. It is also associated with anomalies of the genitourinary and skeletal systems. Its association with gonadal dysgenesis is extremely rare and appears to be fortuitous, independent of chromosomal anomalies. We report such a case in a 21-year-old girl who presented primary amenorrhea and impuberism. The endocrine study revealed hypergonadotrophic hypogonadism. The karyotype was normal, 46, XX. No chromosome Y was detected at the fluorescence in situ hybridization (FISH) analysis. Internal genitalia could not be identified on the pelvic ultrasound and pelvic magnetic resonance imaging. Laparoscopy disclosed concomitant ovarian dysgenesis and MRKH syndrome. There were no other associated malformations. Hormonal substitution therapy with oral conjugated estrogens was begun. The patient has been under regular follow-up for the last two years and is doing well.
Keywords: Gonadal dysgenesis; Mayer-Rokitansky-Kuster-Hauser syndrome; karyotype.
Conflict of interest statement
Figures
References
-
- Gorgojo JJ, Almodóvar F, López E, Donnay S. Gonadalagenesis 46, XX associated with the atypicalform of Rokitansky syndrome. Fertil Steril. 2002;77:185–7. - PubMed
-
- Heufelder AE. Gonads in trouble: Follicle-stimulating hormone receptor gene mutation as a cause of inherited streak ovaries. Eur J Endocrinol. 1996;134:296–7. - PubMed
-
- Aittomäki K, Lucena JL, Pakarinen P, Sistonen P, Tapanainen J, Gromoll J, et al. Mutation in the follicle-stimulating hormone receptorgene causes hereditaryhypergonadotropicovarianfailure. Cell. 1995;82:959–68. - PubMed
Publication types
LinkOut - more resources
Full Text Sources
Other Literature Sources
