Albendazole-induced granulomatous hepatitis: a case report
- PMID: 23889970
- PMCID: PMC3750323
- DOI: 10.1186/1752-1947-7-201
Albendazole-induced granulomatous hepatitis: a case report
Abstract
Introduction: Drug-related hepatotoxicity is a common medical problem with implications for health systems. It constitutes a cause of acute liver failure and, in many cases, is responsible for the rejection of new pharmacological agents during efficacy and safety studies. Risk factors, as well as pathogenesis of drug-induced liver injury, are poorly understood. The diagnosis of drug-induced liver injury is challenging; it is difficult to define the cause of drug hepatotoxicity due to the heterogeneity of the clinical presentation and the absence of established criteria for accurate and reproducible identification of drug-associated liver toxicity.
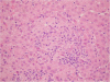
Case presentation: We report the case of a 25-year-old Hispanic woman admitted to our Clinical Hepatology Unit with symptoms of acute hepatitis of unknown etiology. She was diagnosed with albendazole-induced granulomatous hepatitis after ruling out other possible causes, based on laboratory studies, liver biopsy, medical history, detailed drug history, and spontaneous improvement of her liver biochemical profile after medication withdrawal. This diagnosis was supported by the Council for International Organizations of Medical Sciences-Roussel Uclaf Causality Assessment Method, which showed a likely correlation between hepatocellular damage and drug toxicity as the etiology.
Conclusions: Our patient's suspected diagnosis was albendazole-induced granulomatous hepatitis with confirmatory histologic pattern. This case deserves particular attention due to the wide use of albendazole in our country (Colombia) and the prevalent medical issue of drug-related hepatotoxicity.
Figures


References
-
- Sharma S. In: Hepatology: A Textbook of Liver Disease. 5. Zakim D, Boyer TD, editor. Philadelphia: Saunders/Elsevier; 2006. Granulomatous diseases of the liver; pp. 767–780.
LinkOut - more resources
Full Text Sources
Other Literature Sources