Skip to main page content
U.S. flag

An official website of the United States government

Dot gov

The .gov means it’s official.
Federal government websites often end in .gov or .mil. Before sharing sensitive information, make sure you’re on a federal government site.

Https

The site is secure.
The https:// ensures that you are connecting to the official website and that any information you provide is encrypted and transmitted securely.

Access keys NCBI Homepage MyNCBI Homepage Main Content Main Navigation
. 2012 Jan 18:2:36-46.
Print 2012 Jan.

Anatomy and surgery of the endoscopic endonasal approach to the skull base

Affiliations

Anatomy and surgery of the endoscopic endonasal approach to the skull base

Domenico Solari et al. Transl Med UniSa. .

Abstract

The midline skull base is an anatomical area, which extends from the anterior limit of the anterior cranial fossa down to the anterior border of the foramen magnum. For many lesions of this area, a variety of skull base approaches including anterior, antero-lateral, and postero-lateral routes, have been proposed over the last decades, either alone or in combination, often requiring extensive neurovascular manipulation. Recently the endoscopic endonasal approach to the skull base has been introduced to access the midline skull base. The major potential advantage of the endoscopic endonasal technique is to provide a direct anatomical route to the lesion since it does not traverse any major neurovascular structures, thereby obviating brain retraction. The potential disadvantages include the relatively restricted exposure and the higher risk of CSF leak. In the present study we report the endoscopic endonasal anatomy of different areas of the midline skull base from the olfactory groove to the cranio-vertebral junction and accordingly describe the main features of the surgical approaches to each of these regions.

Keywords: endoscopic anatomy; endoscopic endonasal surgery; endoscopy; skull base surgery.

PubMed Disclaimer

Figures

Figure 1:
Figure 1:
Endoscopic endonasal anatomic picture showing the suprasellar, the parasellar and the clival area. Ch: chiasm; Ps: pituitary stalk; PG: pituitary gland; C: clivus; fSphS: floor of the sphenoidal sinus; ET: Eustachian tube; SP: soft palate; FL: foramen lacerum; ICAc: paraclival segment of the internal carotid; ICAs: parasellar segment of the internal carotid artery.
Figure 2:
Figure 2:
Endoscopic endonasal anatomic view of the anterior skull base. The superior part of the nasal septum has been removed. AEA: anterior ethmoidal artery; PEA: posterior ethmoidal artery; O: Orbit; LC: lamina cribriformis; PS: planum sphenoidale; FS: frontal sinus; S: sella turcica.
Figure 3:
Figure 3:
Endoscopic endonasal anatomic view of the planum sphenoidale, the sellar floor and clival area. PS: pituitary stalk; OP: optic protuberance; ocr: lateral opto-carotid recess; CPs: parasellar segment of the carotid protuberance; CPc: paraclival segment of the carotid protuberance.
Figure 4:
Figure 4:
Endoscopic endonasal anatomic close-up view of the chiasm, highlighting the superior hypophyseal arteries complex. ICA: internal carotid artery; ON: optic nerve; Ch: chiasm; Ps: pituitary stalk; sha: superior hipophyseal artery.
Figure 5:
Figure 5:
Endoscopic endonasal cadaveric image: After the opening of the bony surfaces over the sellar, clival area and carotid protuberances the neurovascular structures of the left cavernous sinus have been exposed. ICAc: paraclival segment of the internal carotid artery; ICAs: parasellar segment of the internal carotid artery; FL foramen lacerum; PG: pituitary gland; C: clivus; GG: Gasser’s ganglion; VI: abducent nerve; V1: first branch of trigeminal nerve; V2: second branch of trigeminal nerve; V3: third branch of trigeminal nerve; SOF: superior orbital fissure.
Figure 6:
Figure 6:
Endoscopic endonasal view of the superior third of the retroclival area; exposure of the neurovascular structures, after bone removal. ICAs: parasellar segment of the internal carotid artery; ICAc: paraclival segment of the internal carotid artery; III: third oculomotor nerve; SCA: superior serebellar artery; PCoA: posterior communicating artery; P1: pre-comunicating tract of the posterior cerebral artery; MB: mammilary body; PG: pituitary gland; BA: basilar artery.
Figure 7:
Figure 7:
Endoscopic endonasal view of the inferior third of the retroclival area. BA: basilar artery; VA: vertebral artery; ASA: anterior spinal artery; pica: posterior inferior cerebellar artery; aica: anterior inferior cerebellar artery; VI: abducent nerve.
Figure 8:
Figure 8:
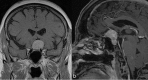
Picture showing a preoperative MRI scan showing the case of a planum sphenoidale meningioma.
Figure 9:
Figure 9:
Intraoperative image of piecemeal tumor removal using cavitational ultrasonic surgical aspiration (CUSA) of the planum sphenoidale meningioma shown in figure 8. T: tumor.
Figure 10:
Figure 10:
Intraoperative image after tumor removal of the case shown in figure 8. * branch of frontopolar artery.
Figure 11:
Figure 11:
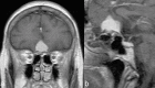
Picture showing a preoperative MRI scan showing the case of a tuberculum sellae meningioma.
Figure 12:
Figure 12:
Endoscopic endonasal intraoperative picture showing the suprachiasmatic area after tuberculum sellae meningioma (case in figure 11) removal. GR: gyri recta; ON: optic nerve; A1: pre-communicating tract of anterior cerebral artery; A2: post-communicating tract of anterior cerebral artery; Ch: chiasm; Ps: pituitary stalk; AcoA: Anterior communicating artery; H: heubner artery.

References

    1. Fahlbusch R, Schott W. Pterional surgery of meningiomas of the tuberculum sellae and planum sphenoidale: surgical results with special consideration of ophthalmological and endocrinological outcomes. J Neurosurg. 2002;96(2):235–43. - PubMed
    1. Cho CW, Al-Mefty O. Combined petrosal approach to petroclival meningiomas. Neurosurgery. 2002 Sep;51(3):708–16. discussion 16–8. - PubMed
    1. Hakuba A, Tanaka K, Suzuki T, Nishimura S. A combined orbitozygomatic infratemporal epidural and subdural approach for lesions involving the entire cavernous sinus. J Neurosurg. 1989 Nov;71(5 Pt 1):699–704. - PubMed
    1. Samii M, Ammirati M. The combined supra-infratentorial pre-sigmoid sinus avenue to the petro-clival region. Surgical technique and clinical applications. Acta Neurochir (Wien) 1988;95(1–2):6–12. - PubMed
    1. Weiss MH. The transnasal transsphenoidal approach. In: Apuzzo ML, editor. Surgery of the third ventricle. Baltimore: Williams & Wilkins; 1987. pp. 476–94.

LinkOut - more resources