Extrauterine adenomyoma of the liver with a focally cellular smooth muscle component occurring in a patient with a history of myomectomy: case report and review of the literature
- PMID: 23915210
- PMCID: PMC3771407
- DOI: 10.1186/1746-1596-8-131
Extrauterine adenomyoma of the liver with a focally cellular smooth muscle component occurring in a patient with a history of myomectomy: case report and review of the literature
Abstract
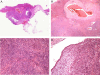
Since first reported in 1986, 14 cases of extrauterine adenomyoma have been reported in the English literature, most often occurring in the ovaries. In this report, we present the first case of extrauterine adenomyoma involving the liver in a 29-year-old woman who presented with a 2-year history of low back pain with recent worsening and a history of laparoscopic myomectomy 5 years previously. Gross inspection of the specimen revealed a subcapsular mass that had a well-circumscribed margin with the adjacent liver tissue. By histopathologic examination, the multilobular mass was composed of a smooth muscle component and benign endometrioid glands and stroma. The smooth muscle component was focally cellular, and the endometrioid glands had secretory features. Both the smooth muscle component and endometrioid tissue were positive for ER and PR. The smooth muscle component was also positive for desmin and SMA, while the endometrioid stroma was positive for CD10. Other extrauterine lesions composed of a mixture of smooth muscle tissue and heterotopic endometrioid tissue, including endometriosis with a smooth muscle component, leiomyomatosis/leiomyomas associated with endometriosis and uterus-like masses, should be included in differential diagnoses. The patient was free from recurrence 5 months after liver tumor resection.
Virtual slides: The virtual slide(s) for this article can be found here: http://www.diagnosticpathology.diagnomx.eu/vs/1327125766102291.
Figures




References
-
- Redman R, Wilkinson EJ, Massoll NA. Uterine-like mass with features of an extrauterine adenomyoma presenting 22 years after total abdominal hysterectomy-bilateral salpingo-oophorectomy: a case report and review of the literature. Arch Pathol Lab Med. 2005;129:1041–1043. - PubMed
-
- Choudhrie L, Mahajan NN, Solomon MV, Thomas A, Kale AJ, Mahajan K. Ovarian ligament adenomyoma: a case report. Acta Chir Belg. 2007;107:84–85. - PubMed
Publication types
MeSH terms
Substances
LinkOut - more resources
Full Text Sources
Other Literature Sources
Medical
Research Materials