Skip to main page content
U.S. flag

An official website of the United States government

Dot gov

The .gov means it’s official.
Federal government websites often end in .gov or .mil. Before sharing sensitive information, make sure you’re on a federal government site.

Https

The site is secure.
The https:// ensures that you are connecting to the official website and that any information you provide is encrypted and transmitted securely.

Access keys NCBI Homepage MyNCBI Homepage Main Content Main Navigation
Case Reports
. 2013 Aug 5:2013:bcr2013009892.
doi: 10.1136/bcr-2013-009892.

A rare presentation of cerebral venous sinus thrombosis associated with tubercular meningitis

Affiliations
Case Reports

A rare presentation of cerebral venous sinus thrombosis associated with tubercular meningitis

Rajesh Verma et al. BMJ Case Rep. .

Abstract

Central nervous system (CNS) tuberculosis may manifest as meningitis, meningoencephalitis, tuberculoma, tubercular abscess, stroke due to tuberculous vasculitis and tuberculous encephalopathy. Occasionally, tubercular meningitis (TBM) can predispose to cerebral venous sinus thrombosis (CVST). We report a young man, who developed CVST as a complication of TBM. Worsening of pre-existing headache, impairment of consciousness and seizures should raise suspicion of CVST in any patient with CNS infection. Early diagnosis and appropriate clinical management are important for good outcome.

PubMed Disclaimer

Figures

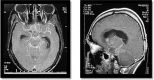
Figure 1
Figure 1
Axial and sagital T1-weighted MRI brain with contrast images showing hydrocephalus with leptomeningeal enhancement.
Figure 2
Figure 2
MR venography showing superior and inferior sagittal sinus thrombosis with increased collaterals.
Figure 3
Figure 3
MR venography showing resolution of superior and inferior sagittal sinus.

References

    1. Rock RB, Olin M, Baker CA, et al. Central nervous system tuberculosis: pathogenesis and clinical aspects. Clin Microbiol Rev 2008;2013:243–61 - PMC - PubMed
    1. van Gjin J. Cerebral venous thrombosis: pathogenesis, presentation and prognosis. J R Soc Med 2000;2013:230–3 - PMC - PubMed
    1. Meckel S, Reisinger C, Bremerich J, et al. Cerebral venous thrombosis: diagnostic accuracy of combined, dynamic and static, contrast-enhanced 4D MR venography. AJNR Am J Neuroradiol 2010;2013:527–35 - PMC - PubMed
    1. Cumurciuc R, Crassard I, Sarov M, et al. Headache as the only neurological sign of cerebral venous thrombosis: a series of 17 cases. J Neurol Neurosurg Psychiatry 2005;2013:1084–7 - PMC - PubMed
    1. Stam J. Thrombosis of the cerebral veins and sinuses. N Engl J Med 2005;2013:1791–8 - PubMed

Publication types