Geriatric chest imaging: when and how to image the elderly lung, age-related changes, and common pathologies
- PMID: 23936651
- PMCID: PMC3713368
- DOI: 10.1155/2013/584793
Geriatric chest imaging: when and how to image the elderly lung, age-related changes, and common pathologies
Abstract
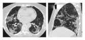
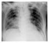
Even in a global perspective, societies are getting older. We think that diagnostic lung imaging of older patients requires special knowledge. Imaging strategies have to be adjusted to the needs of frail patients, for example, immobility, impossibility for long breath holds, renal insufficiency, or poor peripheral venous access. Beside conventional radiography, modern multislice computed tomography is the method of choice in lung imaging. It is especially important to separate the process of ageing from the disease itself. Pathologies with a special relevance for the elderly patient are discussed in detail: pneumonia, aspiration pneumonia, congestive heart failure, chronic obstructive pulmonary disease, the problem of overlapping heart failure and chronic obstructive pulmonary disease, pulmonary drug toxicity, incidental pulmonary embolism pulmonary nodules, and thoracic trauma.
Figures
References
-
- United Nations. Commission on Population and Development. 42nd Session: programme implementation and future work of the secretariat in the field of demographic trends. Geneva, Switzerland, 2009.
-
- Statistisches Bundesamt. Diagnosedaten der Patienten und Patientinnen in Krankenhäusern. Wiesbaden, Germany: Statistisches Bundesamt; 2011.
-
- Morley JE, Perry HM, III, Miller DK. Something about frailty. Journals of Gerontology. Series A. 2002;57(11):M698–M704. - PubMed
-
- Torres SL, Dutton AG, Linn-Watson TA. Patient Care in Imaging Technology. Philadelphia, Pa, USA: Lippincott Williams & Wilkins; 2010.
-
- ACR Appropiateness criteria. http://www.acr.org/Quality-Safety/Appropriateness-Criteria/
LinkOut - more resources
Full Text Sources
Other Literature Sources
