A 22-year-old female with invasive epithelioid angiomyolipoma and tumor thrombus into the inferior vena cava: case report and literature review
- PMID: 23984176
- PMCID: PMC3745915
- DOI: 10.1155/2013/730369
A 22-year-old female with invasive epithelioid angiomyolipoma and tumor thrombus into the inferior vena cava: case report and literature review
Abstract
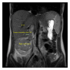
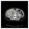
A 22-year-old female presented with back pain and was discovered to have a right-sided abdominal mass. Computed tomography (CT) scan revealed a 9 cm enhancing right upper pole renal mass with suspicion for tumor thrombus into the right renal vein and possibly the inferior vena cava (IVC). Magnetic resonance imaging (MRI) confirmed tumor thrombus into the inferior vena cava approximately 3 cm below the hepatic venous confluence. Open right radical nephrectomy with inferior vena cava thrombectomy was performed with removal of right kidney and tumor thrombus en bloc. Pathology revealed malignant epithelioid angiomyolipoma (EAML or PEComa). Epithelioid angiomyolipoma is a rare tumor of mesenchymal tissue that has the potential for local invasion and disease progression. Diagnosis of EAML was confirmed by pathology and immunohistochemistry. She was referred to medical oncology for discussion of surveillance versus potential adjuvant therapy and ultimately opted for close surveillance.
Figures
References
-
- Mai KT, Perkins DG, Collins JP. Epithelioid cell variant of renal angiomyolipoma. Histopathology. 1996;28(3):277–280. - PubMed
-
- Martignoni G, Pea M, Bonetti F, et al. Renal epithelioid oxyphilic neoplasm (REON), a pleomorphic variant of renal angiomyolipoma. International Journal of Surgical Pathology. 1995;2(article 539)
-
- Davis CJ, Woodward PJ, Dehner LP, et al. Pathology and Genetics of Tumours of the Urinary System and Male Genital Organs. Lyon, France: IARC Press; 2004.
-
- Akcali Y, Karahan OI, Kahriman G, Ceyran H, Balkanli S. Angiomyolipoma with cavoatrial extension. European Urology. 2006;50(3):605–606. - PubMed
-
- Lin W-Y, Chuang C-K, Ng K-F, Liao S-K. Renal angiomyolipoma with lymph node involvement: a case report and literature review. Chang Gung Medical Journal. 2003;26(8):607–610. - PubMed
LinkOut - more resources
Full Text Sources
Other Literature Sources
Research Materials
