BamHI-A rightward frame 1, an Epstein-Barr virus-encoded oncogene and immune modulator
- PMID: 23996634
- PMCID: PMC4272418
- DOI: 10.1002/rmv.1758
BamHI-A rightward frame 1, an Epstein-Barr virus-encoded oncogene and immune modulator
Abstract
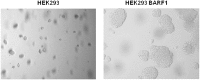
Epstein-Barr virus (EBV) causes several benign and malignant disorders of lymphoid and epithelial origin. EBV-related tumors display distinct patterns of viral latent gene expression, of which the BamHI-A rightward frame 1 (BARF1) is selectively expressed in carcinomas, regulated by cellular differentiation factors including ΔNp63α. BARF1 functions as a viral oncogene, immortalizing and transforming epithelial cells of different origin by acting as a mitogenic growth factor, inducing cyclin-D expression, and up-regulating antiapoptotic Bcl-2, stimulating host cell growth and survival. In addition, secreted hexameric BARF1 has immune evasive properties, functionally corrupting macrophage colony stimulating factor, as supported by recent functional and structural data. Therefore, BARF1, an intracellular and secreted protein, not only has multiple pathogenic functions but also can function as a target for immune responses. Deciphering the role of BARF1 in EBV biology will contribute to novel diagnostic and treatment options for EBV-driven carcinomas. Herein, we discuss recent insights on the regulation of BARF1 expression and aspects of structure-function relating to its oncogenic and immune suppressive properties.
© 2013 The Authors. Reviews in Medical Virology published by John Wiley & Sons, Ltd.
Figures







References
-
- Rickinson AB. Epstein–Barr virus. In: Knipe DM, Howley PM, editors. Fields Virology. Philadelphia: Wolters Kluwer Health; 2007. pp. 2655–2700.
-
- Sixbey JW, Nedrud JG, Raab-Traub N, Hanes RA, Pagano JS. Epstein–Barr virus replication in oropharyngeal epithelial cells. New England Journal of Medicine. 1984;310:1225–1230. - PubMed
-
- Souza TA, Stollar BD, Sullivan JL, Luzuriaga K, Thorley-Lawson DA. Peripheral B cells latently infected with Epstein–Barr virus display molecular hallmarks of classical antigen-selected memory B cells. Proceedings of the National Academy of Sciences of the United States of America. 2005;102:18093–18098. - PMC - PubMed
-
- Middeldorp JM, Brink AA, van den Brule AJ, Meijer CJ. Pathogenic roles for Epstein–Barr virus (EBV) gene products in EBV-associated proliferative disorders. Critical Reviews in Oncology/Hematology. 2003;45:1–36. - PubMed
-
- Young LS, Rickinson AB. Epstein–Barr virus: 40 years on. Nature Reviews Cancer. 2004;4:757–768. - PubMed
Publication types
MeSH terms
Substances
LinkOut - more resources
Full Text Sources
Other Literature Sources