Postpartum spontaneous pneumomediastinum 'Hamman's syndrome'
- PMID: 24001729
- PMCID: PMC3794120
- DOI: 10.1136/bcr-2013-010354
Postpartum spontaneous pneumomediastinum 'Hamman's syndrome'
Abstract
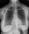
Spontaneous pneumomediastinum and subcutaneous emphysema (Hamman's syndrome) are rare but potentially dangerous complications of labour. The authors reported a case of a 23-year-old primigravida, admitted to our hospital for delivery after 40 weeks of pregnancy. She delivered a baby of 4.27 kg after 9 h from the start of labour. A few minutes after delivery, the patient developed dyspnoea and chest tightness, which made her doctor suspect pulmonary embolism. A chest X-ray and CT scan revealed pneumomediastinum and subcutaneous emphysema. The patient had been followed up for 3 days in our hospital, without specific therapy.
Figures



References
-
- Gordon CA. Respiratory emphysema in labour. Am J Obstet Gynecol 1927;2013:633–46
-
- Hamman L. Mediastinal emphysema . JAMA 1945;2013:1–6
-
- Crean PA, Strong JM, FitzGerald MX. Spontaneous pneumomediastinum. Case report. Br J Obstet Gynaecol 1981;2013:952–4 - PubMed
-
- Mahboob A, Eckford SD. Hamman's syndrome: an atypical cause of postpartum chest pain. J Obstet Gynaecol 2008;2013:652–3 - PubMed
-
- Bonin MM. Hamman's syndrome(spontaneous pneumomediastinum) in a parturient: a case report. J Obstet Gynaecol Can 2006;2013:128–31 - PubMed
Publication types
MeSH terms
LinkOut - more resources
Full Text Sources
Other Literature Sources
Medical