Gallstone ileus: case report and literature review
- PMID: 24023505
- PMCID: PMC3761115
- DOI: 10.3748/wjg.v19.i33.5586
Gallstone ileus: case report and literature review
Abstract
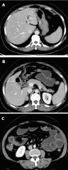
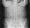
Gallstone ileus (GI) is characterized by occlusion of the intestinal lumen as a result of one or more gallstones. GI is a rare complication of gallstones that occurs in 1%-4% of all cases of bowel obstruction. The mortality associated with GI ranges between 12% and 27%. Classical findings on plain abdominal radiography include: (1) pneumobilia; (2) intestinal obstruction; (3) an aberrantly located gallstone; and (4) change of location of a previously observed stone. The optimal management of acute GI is controversial and can be: (1) enterotomy with stone extraction alone; (2) enterotomy, stone extraction, cholecystectomy and fistula closure; (3) bowel resection alone; and (4) bowel resection with fistula closure. We describe a case to highlight some of the pertinent issues involved in GI management, and propose a scheme to minimize recurrent disease and postoperative complications. We conclude that GI is a rare condition affecting mainly the older population with a female predominance. The advent of computed tomography and magnetic resonance imaging has made it easier to diagnose GI. Enterotomy with stone extraction alone remains the most common surgical method because of its low incidence of complications.
Keywords: Bowel obstruction; Enterolithotomy; Fistula closure; Gallstone ileus; Intestinal obstruction.
Figures
References
-
- Chatterjee S, Chaudhuri T, Ghosh G, Ganguly A. Gallstone ileus-an atypical presentation and unusual location. Int J Surg. 2008;6:e55–e56. - PubMed
-
- Reisner RM, Cohen JR. Gallstone ileus: a review of 1001 reported cases. Am Surg. 1994;60:441–446. - PubMed
-
- Halabi WJ, Kang CY, Ketana N, Lafaro KJ, Nguyen VQ, Stamos MJ, Imagawa DK, Demirjian AN. Surgery for Gallstone Ileus: A Nationwide Comparison of Trends and Outcomes. Ann Surg. 2013:Jan 4; Epub ahead of print. - PubMed
Publication types
MeSH terms
LinkOut - more resources
Full Text Sources
Other Literature Sources
