Sarcoidosis lymphoma syndrome - the value of PET-CT in the diagnosis
- PMID: 24047276
- PMCID: PMC3850938
- DOI: 10.1186/1477-7819-11-235
Sarcoidosis lymphoma syndrome - the value of PET-CT in the diagnosis
Abstract
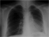
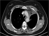
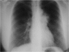
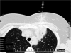
We report a 52-year-old patient who developed B-cell non-Hodgkin's lymphoma subsequent to sarcoidosis. Sarcoidosis was diagnosed 16 years ago and remained asymptomatic for 14 years after steroid treatment. She presented with new symptoms of arthralgia, photosensitivity, butterfly erythema, autoimmune antibodies (ANA, chromatin positivity) associated with progression of the known left upper lobe lesion on the chest X-ray suggesting primary autoimmune disease (systemic lupus erythematosus). As steroid treatment was not effective, we started bolus cyclophosphamide therapy after which progression was seen on the chest X-ray. Computed tomography (CT)-guided needle biopsy confirmed malignancy of indefinable origin. Despite of the well-known fluorodeoxyglucose (FDG) avidity in active sarcoidosis, a FDG-positron emission tomography (PET) scan was performed to stage the primary tumour. Intensive FDG uptake was detected in the affected lung segment, with moderate uptake in mediastinal lymph nodes. The patient underwent left upper lobectomy. The histology showed pulmonary mucosa-associated lymphoma (bronchus-associated lymphoid tissue (BALT) lymphoma) in the lung tissue, while only sarcoidosis was present in the mediastinal lymph nodes. Bone marrow biopsy was negative.The association between sarcoidosis and lymphoma is known as sarcoidosis lymphoma syndrome, which is a rare disease. PET-CT was helpful in the differentiation of sarcoidosis and malignancy in this patient. It is important to be aware of the risk of lymphoma in sarcoidosis and FDG-PET, used for adequate purpose, can help the diagnosis.
Figures
References
Publication types
MeSH terms
Substances
LinkOut - more resources
Full Text Sources
Other Literature Sources
Medical
Research Materials
