Giant thoracic mass: an unusual presentation of primary pulmonary Hodgkin's lymphoma
- PMID: 24049094
- PMCID: PMC3794259
- DOI: 10.1136/bcr-2013-200909
Giant thoracic mass: an unusual presentation of primary pulmonary Hodgkin's lymphoma
Abstract
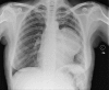
Primary pulmonary Hodgkin's lymphoma (PPHL) is rare. PPHL without peripheral lymphadenopathy or hepatosplenomegaly is exceptionally uncommon. We present a 61-year-old woman believed to have a solitary intrapulmonary fibrous tumour on a CT and a CT-guided biopsy, until surgical excision. Histopathology and immunohistochemistry of the excised mass confirmed PPHL. PPHL is a very rare differential diagnosis of large solitary intrapulmonary masses. A CT-guided biopsy is recommended, as it can be diagnostic, reserving excision for cases where the diagnosis remains in doubt.
Figures





References
-
- Diederich S, Link TM, Zühlsdorf H, et al. Pulmonary manifestations of Hodgkin's disease: radiographic and CT findings. Eur Radiol 2001;2013:2295–305 - PubMed
-
- Radin AI. Primary pulmonary Hodgkin's disease. Cancer 1990;2013:550–63 - PubMed
-
- Kern WH, Crepeau AG, Jones JC. Primary Hodgkin's disease of the lung. Report of 4 cases and review of the literature. Cancer 1961;2013:1151–65 - PubMed
-
- Kumar R, Sidhu H, Mistry R, et al. Primary pulmonary Hodgkin's lymphoma: a rare pitfall in transthoracic fine needle aspiration cytology. Diagn Cytopathol 2008;2013:666–9 - PubMed
Publication types
MeSH terms
LinkOut - more resources
Full Text Sources
Other Literature Sources
Medical