Ocular and neural distribution of feline herpesvirus-1 during active and latent experimental infection in cats
- PMID: 24053192
- PMCID: PMC4016492
- DOI: 10.1186/1746-6148-9-185
Ocular and neural distribution of feline herpesvirus-1 during active and latent experimental infection in cats
Abstract
Background: Herpes simplex virus 1 (HSV-1) and varicella zoster virus (VZV) cause extensive intra-ocular and neural infections in humans and are closely related to Felid herpes virus 1 (FeHV-1). We report the extent of intra-ocular replication and the extent and morphological aspects of neural replication during the acute and latent phases of FeHV-1 infection. Juvenile, SPF cats were inoculated with FeHV-1. Additional cats were used as negative controls. Cats were euthanized on days 6, 10, and 30 post-inoculation.
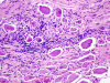
Results: FeHV-1 was isolated from the conjunctiva, cornea, uveal tract, retina, optic nerve, ciliary ganglion (CG), pterygopalatine ganglion (PTPG), trigeminal ganglion (TG), brainstem, visual cortex, cerebellum, and olfactory bulb of infected cats during the acute phase, but not the cranial cervical ganglion (CCG) and optic chiasm. Viral DNA was detected in all tissues during acute infection by a real-time quantitative PCR assay. On day 30, viral DNA was detected in all TG, all CCG, and 2 PTPG. Histologically mild inflammation and ganglion cell loss were noted within the TG during acute, but not latent infection. Using linear regression, a strong correlation existed between clinical score and day 30 viral DNA copy number within the TG.
Conclusions: The correlation between clinical score and day 30 viral DNA copy number suggests the severity of the acute clinical infection is related to the quantity of latent viral DNA. The histologic response was similar to that seen during HSV-1 or VZV infection. To the author's knowledge this is the first report of FeHV-1 infection involving intraocular structures and autonomic ganglia.
Figures



References
Publication types
MeSH terms
Substances
LinkOut - more resources
Full Text Sources
Other Literature Sources
Miscellaneous