Skip to main page content
U.S. flag

An official website of the United States government

Dot gov

The .gov means it’s official.
Federal government websites often end in .gov or .mil. Before sharing sensitive information, make sure you’re on a federal government site.

Https

The site is secure.
The https:// ensures that you are connecting to the official website and that any information you provide is encrypted and transmitted securely.

Access keys NCBI Homepage MyNCBI Homepage Main Content Main Navigation
Case Reports
. 2013;40(4):459-61.

Rapid growth of left atrial myxoma after radiofrequency ablation

Affiliations
Case Reports

Rapid growth of left atrial myxoma after radiofrequency ablation

José Rubio Alvarez et al. Tex Heart Inst J. 2013.

Abstract

Atrial myxoma is the most common benign tumor of the heart, but its appearance after radiofrequency ablation is very rare. We report a case in which an asymptomatic, rapidly growing cardiac myxoma arose in the left atrium after radiofrequency ablation. Two months after the procedure, cardiovascular magnetic resonance, performed to evaluate the right ventricular anatomy, revealed a 10 × 10-mm mass (assumed to be a thrombus) attached to the patient's left atrial septum. Three months later, transthoracic echocardiography revealed a larger mass, and the patient was diagnosed with myxoma. Two days later, a 20 × 20-mm myxoma weighing 37 g was excised. To our knowledge, the appearance of an atrial myxoma after radiofrequency ablation has been reported only once before. Whether tumor development is related to such ablation or is merely a coincidence is uncertain, but myxomas have developed after other instances of cardiac trauma.

Keywords: Atrial fibrillation/prevention & control; catheter ablation/adverse effects; diagnosis, differential; echocardiography, transesophageal; echocardiography, transthoracic; heart neoplasms/ultrasonography; myxoma/diagnosis/surgery; pulmonary veins.

PubMed Disclaimer

Figures

None
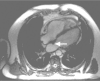
Fig. 1 On 4 November 2009, cardiovascular magnetic resonance showed a small (10 × 10-mm) mass (arrow) attached to the left atrial septum.
None
Fig. 2 On 6 November 2009, transesophageal echocardiography showed a small round mass in the left atrium.
None
Fig. 3 A) On 27 January 2010, a 20 × 20-mm myxoma weighing 37 g was excised; here it is placed next to a towel clamp for scale. B) Photomicrograph shows abundant myxoid stroma, proliferation of blood vessels, and areas of old hemorrhaging (H & E, orig. ×200).

References

    1. Belhassen B, Rogowski O, Glick A, Viskin S, IIan M, Rosso R, Eldar M. Radiofrequency ablation of accessory pathways: a 14 year experience at the Tel Aviv Medical Center in 508 patients. Isr Med Assoc J 2007;9(4):265–70. - PubMed
    1. Abhishek F, Heist EK, Barrett C, Danik S, Blendea D, Correnti C, et al. Effectiveness of a strategy to reduce major vascular complications from catheter ablation of atrial fibrillation. J Interv Card Electrophysiol 2011;30(3):211–5. - PubMed
    1. Hahn K, Gal R, Sarnoski J, Kubota J, Schmidt DH, Bajwa TK. Transesophageal echocardiographically guided atrial transseptal catheterization in patients with normal-sized atria: incidence of complications. Clin Cardiol 1995;18(4):217–20. - PubMed
    1. Dhawan S, Tak T. Left atrial mass: thrombus mimicking myxoma. Echocardiography 2004;21(7):621–3. - PubMed
    1. Zhang FX, Yang B, Chen HW, Ju WZ, Cao KJ, Chen ML. Myocardial injury resulting from radiofrequency catheter ablation: comparison of circumferential pulmonary vein isolation and complex fractionated atrial electrograms ablation. Chin Med J 2011;124(17):2674–7. - PubMed

Publication types

LinkOut - more resources