Internal repair of left ventricular pseudoaneurysm late after mitral valve replacement
- PMID: 24105863
- PMCID: PMC3867041
- DOI: 10.1093/icvts/ivt431
Internal repair of left ventricular pseudoaneurysm late after mitral valve replacement
Abstract
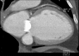
Late left ventricular pseudoaneurysm is a rare complication after mitral valve replacement. Most investigators have recommended surgical repair to treat left ventricular pseudoaneurysm, since untreated left ventricular pseudoaneurysm have a high risk of rupture. Here, we report a case of a 57-year old man with left ventricular pseudoaneurysm. He had two prior mitral valve replacements 16 and 19 years ago, as well as mitral and aortic valve endocarditis causing mitral valve perivalvular leak and perforation of the aortic valve. The mitral and aortic valves were replaced with bovine pericardial valves. Left ventricular pseudoaneurysm was successfully repaired internally in our case because the internal wall at the level of the left ventricle was very fibrotic and matured.
Keywords: Complication; Mitral valve replacement; Pseudoaneurysm; Reoperation.
Figures



Comment in
-
eComment. Left ventricular pseudoaneurysm: an attempt of guidelines for the surgical treatment.Interact Cardiovasc Thorac Surg. 2014 Jan;18(1):129-30. doi: 10.1093/icvts/ivt476. Interact Cardiovasc Thorac Surg. 2014. PMID: 24352494 Free PMC article. No abstract available.
References
-
- Honda K, Okamura Y, Nishimura Y, Hayashi H. Patch repair of a giant left ventricular pseudoaneurysm after mitral valve replacement. Ann Thorac Surg. 2011;91:1596–7. doi:10.1016/j.athoracsur.2010.10.024. - DOI - PubMed
-
- Hirasawa Y, Miyauchi T, Sawamura T, Takiya H. Giant left ventricular pseudoaneurysm after mitral valve replacement and myocardial infarction. Ann Thorac Surg. 2004;78:1823–5. doi:10.1016/j.athoracsur.2003.07.018. - DOI - PubMed
-
- Min SK, Sir JJ, Nah JC, Kim YI. Successful resection of a giant left ventricular pseudoaneurysm developed later after mitral valve replacement. J Korean Med Sci. 2010;25:1080–2. doi:10.3346/jkms.2010.25.7.1080. - DOI - PMC - PubMed
-
- Francs C, Romero A, Grady D. Left ventricular pseudoaneurysm. J Am Coll Cardiol. 1998;32:557–61. doi:10.1016/S0735-1097(98)00290-3. - DOI - PubMed
Publication types
MeSH terms
LinkOut - more resources
Full Text Sources
Other Literature Sources