Metaplastic carcinoma of the breast with transformation from adenosquamous carcinoma to osteosarcomatoid and spindle cell morphology
- PMID: 24137400
- PMCID: PMC3789018
- DOI: 10.3892/ol.2013.1464
Metaplastic carcinoma of the breast with transformation from adenosquamous carcinoma to osteosarcomatoid and spindle cell morphology
Abstract
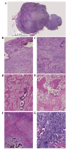
Metaplastic carcinoma of the breast refers to a heterogenous group of mammary carcinomas that contain a mixture of various cell types, including squamous cells, spindle cells and/or a mesenchymal component, such as bone or cartilage. To the best of our knowledge, the clinical course of a tumour that has undergone a transformation from one type of metaplastic carcinoma to another subtype has not previously been reported. The present study reports the five-year clinical and pathological course of a metaplastic breast carcinoma in a 55-year-old female, who was diagnosed with a sclerosing fibroadenomatous nodule with osseous metaplasia and focal atypia. A recurrent tumour was documented four years later, showing a predominant component of osteosarcoma with adenosquamous carcinoma. Upon pathological review of the initial mass, the diagnosis was changed to low-grade adenosquamous carcinoma. The patient was treated with breast conserving therapy. However, one year later, a recurrent metaplastic carcinoma with spindle cell morphology was documented and surgically removed by mastectomy. Subsequently, pulmonary invasion of the chest wall occurred and the patient eventually succumbed due to the invasive nature of the disease.
Keywords: adenosquamous; breast; metaplastic carcinoma; osteosarcoma; spindle cell.
Figures


References
-
- Pezzi CM, Patel-Parekh L, Cole K, Franko J, Klimberg VS, Bland K. Characteristics and treatment of metaplastic breast cancer: analysis of 892 cases from the National Cancer Data Base. Ann Surg Oncol. 2007;14:166–173. - PubMed
-
- Ninomiya J, Oyama T, Horiguchi J, Koibuchi Y, Yoshida T, Iijima K, et al. Two cases of breast cancer with cartilaginous and osseous metaplasia. Breast Cancer. 2005;12:52–56. - PubMed
-
- Lee JH, Kim EK, Choi S, Nam KJ, Kim DC, Cho SH. Metaplastic breast carcinoma with extensive osseous differentiation: a case report. Breast. 2008;17:314–316. - PubMed
-
- Pollock JM, Green A, Donnell C, Dyess DL, Tucker JA. Metaplastic breast carcinoma with osseous differentiation: a case report. South Med J. 2006;99:168–170. - PubMed
-
- Al Sayed AD, El Weshi AN, Tulbah AM, Rahal MM, Ezzat AA. Metaplastic carcinoma of the breast clinical presentation, treatment results and prognostic factors. Acta Oncol. 2006;45:188–195. - PubMed
LinkOut - more resources
Full Text Sources
Other Literature Sources