Foreign-body aspiration in the adult: presentation and management
- PMID: 24137576
- PMCID: PMC3917820
- DOI: 10.1155/2013/754121
Foreign-body aspiration in the adult: presentation and management
Abstract
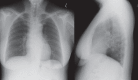
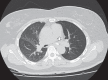
Nonasphyxiating foreign-body aspiration in adults can be difficult to diagnose because the symptoms are nonspecific and chest x-rays may be normal due to organic composition of the foreign bodies. The diagnosis is often made via flexible bronchoscopy; however, debate remains as to whether rigid or flexible bronchoscopy is the optimal method of extraction. The authors describe a patient who was initially referred for assessment of a calcified left mainstem bronchus mass identified only on computed tomography scan of the thorax. The patient underwent flexible bronchoscopy and was discovered to have a bone fragment wedged in the bronchus for a duration of 22 years, which was successfully removed via rigid bronchoscope.
L’aspiration d’un corps étranger sans asphyxie peut être difficile à diagnostiquer chez l’adulte parce que les symptômes ne sont pas spécifiques. De plus, les radiographies pulmonaires peuvent être normales en raison de la composition organique des corps étrangers. Le diagnostic est souvent posé par bronchoscopie flexible, mais le débat reste ouvert quant au choix de la bronchoscopie rigide ou flexible comme mode d’extraction optimal. Les auteurs décrivent un patient qui a d’abord été aiguillé en vue d’évaluer une souche gauche calcifiée dépistée seulement à la tomodensitométrie du thorax. Le patient a subi une bronchoscopie flexible, et on a découvert qu’un fragment d’os était logé dans sa bronche depuis 22 ans. Ce fragment a été retiré avec succès par bronchoscope rigide.
Figures


References
-
- Killian G. Meeting of the society of physicians of Freiburg. December 17, 1897. Munchen Med Wschr. 1989;45:378.
-
- Limper AH, Prakash UB. Tracheobronchial foreign bodies in adults. Ann Intern Med. 1990;112:604–9. - PubMed
-
- Chen CH, Lai CL, Tsai TT, Lee YC, Perng RP. Foreign body aspiration into the lower airway in Chinese adults. Chest. 1997;112:129–33. - PubMed
-
- Rafanan AL, Mehta AC. Adult airway foreign body removal. What’s new? Clin Chest Med. 2001;22:319. - PubMed
-
- Zissin R, Shapir-Feinber M, Rozenman J, et al. CT findings of the chest in adults with aspirated foreign bodies. Eur Radiol. 2001;11:606–11. - PubMed
Publication types
MeSH terms
LinkOut - more resources
Full Text Sources
Other Literature Sources
Medical