Adult colocolic intussusception and literature review
- PMID: 24163649
- PMCID: PMC3806710
- DOI: 10.1159/000355155
Adult colocolic intussusception and literature review
Abstract
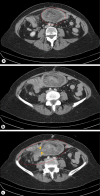
Intussusception occurs when a proximal segment of the gastrointestinal tract, called intussusceptum, telescopes into the lumen of an adjacent segment, also known as intussuscipiens. Although common in early childhood, intussusceptions are very rare in the adult population. Most intussusceptions in adults are due to a lead point, which is an identifiable pathological abnormality, in opposition to children which there are no identifiable pathological lead points. In contrast to childhood intussusception, in adults it is associated with malignant lesions, particularly in the large bowel rather than in the small bowel. Its preoperative diagnosis and treatment in adults is difficult because of nonspecific abdominal symptom and because it rarely presents with the classic triad of vomiting, abdominal pain and passage of blood per rectum. We present a 63-year-old female with an adenocarcinoma tumor being the lead point in a colocolic intussusception, who was diagnosed preoperatively with computed tomography and had a colonoscopy to rule out obstruction. She underwent right hemicolectomy with side-to-side ileocolic anastomosis and did well postoperatively. In addition, we also review the literature and discuss the value of radiological modalities, location and surgical management to try to improve the preoperative diagnosis. Computed tomography scanning with intravenous contrast is maybe the most accurate modality for diagnosis of intussusceptions in adults, and treatment is usually surgical resection without reduction, since most of the colonic lesions are malignant.
Keywords: Adenocarcinoma; Adult; Adult colocolic intussusception; Colon; Computed tomography scanning; Intussusception; Literature review.
Figures



References
Publication types
LinkOut - more resources
Full Text Sources
Other Literature Sources