Mixed Adenoneuroendocrine Carcinomas (MANECs) of the Gastrointestinal Tract: An Update
- PMID: 24213223
- PMCID: PMC3712682
- DOI: 10.3390/cancers4010011
Mixed Adenoneuroendocrine Carcinomas (MANECs) of the Gastrointestinal Tract: An Update
Abstract
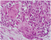
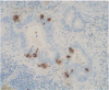
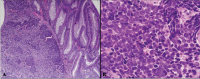
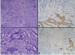
The systematic application of immunohistochemical techniques to the study of tumors has led to the recognition that neuroendocrine cells occur rather frequently in exocrine neoplasms of the gut. It is now well known that there is a wide spectrum of combinations of exocrine and neuroendocrine components, ranging from adenomas or carcinomas with interspersed neuroendocrine cells at one extreme to classical neuroendocrine tumors with a focal exocrine component at the other. In addition, both exocrine and neuroendocrine components can have different morphological features ranging, for the former, from adenomas to adenocarcinomas with different degrees of differentiation and, for the latter, from well differentiated to poorly differentiated neuroendocrine tumors. However, although this range of combinations of neuroendocrine and exocrine components is frequently observed in routine practice, mixed exocrine-neuroendocrine carcinomas, now renamed as mixed adenoneuroendocrine carcinomas (MANECs), are rare; these are, by definition, neoplasms in which each component represents at least 30% of the lesion. Gastrointestinal MANECs can be stratified in different prognostic categories according to the grade of malignancy of each component. The present paper is an overview of the main clinicopathological, morphological, immunohistochemical and molecular features of this specific rare tumor type.
Figures











References
-
- Cordier R. Les cellules argentaffines dans les tumeurs intestinales. Arch. Int. Med. Exp. 1924;1:5.
-
- Solcia E., Klöppel G., Sobin L.H. Histological Typing of Endocrine Tumours (WHO International Histological Classification of Tumours) 2nd. Springer; Berlin, Germany: 2000.
-
- Rindi G., Arnold R., Bosman F.T., Capella C., Kilmstra D.S., Kloppel G., Komminoth P., Solcia E. Nomenclature and classification of neuroendocrine neoplasms of the digestive system. In: Bosman F.T., Carneiro F., Hruban R.H., Theise N.D., editors. WHO Classification of Tumours of the Digestive System. 4th. IARC Press; Lyon, France: 2010. pp. 13–14.
-
- Capella C., La Rosa S., Uccella S., Billo P., Cornaggia M. Mixed endocrine-exocrine tumors of the gastrointestinal tract. Semin. Diagn. Pathol. 2000;17:91–103. - PubMed
LinkOut - more resources
Full Text Sources