Nerve hyperplasia: a unique feature of ketamine cystitis
- PMID: 24252413
- PMCID: PMC3893507
- DOI: 10.1186/2051-5960-1-64
Nerve hyperplasia: a unique feature of ketamine cystitis
Abstract
Background: There is an emerging association between ketamine abuse and the development of urological symptoms including dysuria, frequency and urgency, which have a neurological component. In addition, extreme cases are associated with severe unresolving bladder pain in conjunction with a thickened, contracted bladder and an ulcerated/absent urothelium. Here we report on unusual neuropathological features seen by immunohistology in ketamine cystitis.
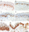
Results: In all cases, the lamina propria was replete with fine neurofilament protein (NFP+) nerve fibres and in most patients (20/21), there was prominent peripheral nerve fascicle hyperplasia that showed particular resemblance to Morton's neuroma. The nerve fascicles, which were positive for NFP, S100 and the p75 low-affinity nerve growth factor receptor (NGFR), were generally associated with a well-developed and in places, prominent, epithelial membrane antigen+/NGFR+ perineurium. This peripheral nerve fascicle hyperplasia is likely to account for the extreme pain experienced by ketamine cystitis patients. Urothelial damage was a notable feature of all ketamine cystitis specimens and where urothelium remained, increased NGFR expression was observed, with expansion from a basal-restricted normal pattern of expression into the suprabasal urothelium.
Conclusions: The histological findings were distinguishing features of ketamine cystitis and were not present in other painful bladder conditions. Ketamine cystitis afflicts predominantly young patients, with unknown long-term consequences, and requires a strategy to control severe bladder pain in order to remove a dependency on the causative agent. Our study indicates that the development of pain in ketamine cystitis is mediated through a specific neurogenic mechanism that may also implicate the urothelium.
Figures





References
-
- Gregoire MC, MacLellan DL, Finley GA. A pediatric case of ketamine-associated cystitis. Urology. 2008;1(6):1232–1233. - PubMed
-
- Shahzad K, Svec A, Al-Koussayer O, Harris M, Fulford S. Analgesic Ketamine Use Leading to Cystectomy: A Case Report. Journal of Clinical Urology. 2012;1(4):188–191.
MeSH terms
Substances
LinkOut - more resources
Full Text Sources
Other Literature Sources
Medical
Research Materials