Endobronchial avium mycobacteria infection in an immunocompetent child
- PMID: 24252838
- PMCID: PMC3841433
- DOI: 10.1136/bcr-2013-200776
Endobronchial avium mycobacteria infection in an immunocompetent child
Abstract
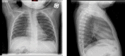
A 12-month-old boy, with no medical history, was admitted for dyspnoea with no cough or fever. Chest auscultation revealed an expiratory wheezing with decreased right-sided breath sounds. Chest imaging revealed subcarinal adenopathy and a nodule in the right principal bronchus (RB). Bronchoscopy showed a major obstruction of the RB by a granuloma, and a smaller granuloma in the left principal bronchus. The granulation tissue was removed by laser section. Histological examination revealed a necrotising granulomatous inflammation, culture showed a Mycobacterium avium complex (MAC). Tests to rule out tuberculosis and immunodeficiency were negative. The diagnosis of an MAC endobronchial granuloma was ascertained and a multidrug therapy associating clarithromycin, rifampin and ethambutol was started. The clinical outcome was good after 3 months of treatment and the bronchoscopy normalised after 1 year. Although rare, the frequency of MAC respiratory infections in immunocompetent children can increase. Reporting these cases should help to optimise diagnosis and treatment.
Figures



References
-
- Litman DA, Shah UK, Pawel BR. Isolated endobronchial atypical mycobacterium in a child: a case report and review of the literature. Int J Pediatr Otorhinolaryngol 2000;2013:65–8 - PubMed
-
- Whiley H, Keegan A, Giglio S, et al. Mycobacterium avium complex—the role of potable water in disease transmission. J Appl Microbiol 2012;2013:223–32 - PubMed
-
- Osorio A, Kessler RM, Guruprasad H, et al. Isolated intrathoracic presentation of Mycobacterium avium complex in an immunocompetent child. Pediatr Radiol 2001;2013:848–51 - PubMed
-
- Nolt D, Michaels MG, Wald ER. Intrathoracic disease from nontuberculous mycobacteria in children: two cases and a review of the literature. Pediatrics 2003;2013:e434. - PubMed
-
- Griffith DE, Aksamit T, Brown-Elliott BA, et al. An official ATS/IDSA statement: diagnosis, treatment, and prevention of nontuberculous mycobacterial diseases. Am J Respir Crit Care Med 2007;2013:367–416 - PubMed
Publication types
MeSH terms
Substances
LinkOut - more resources
Full Text Sources
Other Literature Sources