HER2 status in advanced gastric carcinoma: A retrospective multicentric analysis from Sicily
- PMID: 24260051
- PMCID: PMC3833944
- DOI: 10.3892/ol.2013.1611
HER2 status in advanced gastric carcinoma: A retrospective multicentric analysis from Sicily
Abstract
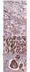
According to the ToGA trial, HER2 has been shown to be predictive for the success of treatment with trastuzumab in advanced gastric cancer (AGC). A number of studies have analyzed HER-2/neu overexpression in gastric carcinoma and identified the rate of HER2 positivity to be markedly varied. To date, the prevalence of HER2 overexpression in Sicilian people with AGC is unknown. Therefore, in the present study, a retrospective immunohistochemical analysis of HER2 was performed in a cohort of 304 AGC samples that were obtained from the archives of 10 Sicilian anatomopathological diagnostic units in order to verify the positive rate of HER2-positive cases. Furthermore, the characteristics of histotype, grade, stage and Ki-67 expression were also analyzed. HER2 overexpression was encountered in 17.43% of all the gastric adenocarcinomas, which was consistent with the results that have been reported elsewhere in the literature. A progressive increase in HER2 overexpression was observed, from the poorly cohesive histotype to the tubular adenocarcinomas and gastric hepatoid adenocarcinomas. HER2 overexpression was significantly associated with a high grade, advanced stage and high Ki-67 labeling index. Further investigations performed jointly by pathologists and oncologists within the geographical area of the present study should confirm that the association of trastuzumab with chemotherapy results in an improvement of survival in patients with AGC.
Keywords: HER2 status; Sicily; gastric adenocarcinoma; trastuzumab.
Figures
 
              
              
              
              
                
                
                References
- 
    - Ross JS, McKenna BJ. The HER-2/neu oncogene in tumors of the gastrointestinal tract. Cancer Invest. 2001;19:554–568. - PubMed
 
- 
    - Latif Z, Watters AD, Bartlett JM, et al. Gene amplification and overexpression of HER2 in renal cell carcinoma. BJU Int. 2002;89:5–9. - PubMed
 
- 
    - Leyland-Jones B. Trastuzumab therapy for the metastatic patient: does the primary match? Ann Oncol. 2002;13:993–994. - PubMed
 
- 
    - Haddad R, Colevas AD, Krane JF, et al. Herceptin in patients with advanced or metastatic salivary gland carcinomas. A phase II study. Oral Oncol. 2003;39:724–727. - PubMed
 
LinkOut - more resources
- Full Text Sources
- Other Literature Sources
- Research Materials
- Miscellaneous
