Transoral C2 biopsy and vertebroplasty
- PMID: 24265894
- PMCID: PMC3831803
- DOI: 10.1556/IMAS.5.2013.2.4
Transoral C2 biopsy and vertebroplasty
Abstract
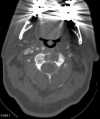
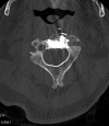
Pathologic fractures involving the C2 vertebral body and odontoid process pose a unique dilemma, as the surgical approach for direct odontoid process screw fixation has several limitations. There have been a small number of transoral approach C2 vertebroplasty or kyphoplasty reported in the literature. Previous attempts were performed utilizing fluoroscopy or CT guidance. We report a case of a fluoroscopically guided transor-al approach vertebroplasty in a patient with a lytic lesion involving the C2 vertebral body, extending into the odontoid process with an underlying pathologic fracture. This case is unique as two separate punctures were required in order to adequately stabilize the pathologic fracture, CTA was performed preoperatively to better evaluate regional vasculature, and a post-procedure rotational flat panel CT was performed to assess cement placement.
Keywords: C2; biopsy; odontoid; pathologic fracture; spine; transoral; vertebroplasty.
Conflict of interest statement
Figures















References
-
- Wu AKP. Fluoroscopic-guided biopsy for pathological fracture of C2: transoral approach. J HK Coll Radiol. 2007;10:85–87.
-
- Reddy AS, Hochman M, Loh S, Rachlin J, Li J, Hirsch JA. CT guided direct transoral approach to C2 for percutaneous vertebroplasty. Pain Physician. 2005 Apr;8(2):235–238. - PubMed
-
- Sinigaglia R. Transoral kyphoplasty for tumors in C2. J Bone Joint Surg Br. 2009;91-B:107. - PubMed
-
- Tong FC, Cloft HJ, Joseph GJ, Rodts GR, Dion JE. Transoral approach to cervical vertebroplasty for multiple myeloma. AJR Am J Roentgenol. 2000 Nov;175(5):1322–1324. - PubMed
LinkOut - more resources
Full Text Sources
Other Literature Sources
Miscellaneous