Management of root fracture: a novel, noninvasive treatment approach
- PMID: 24282648
- PMCID: PMC3825216
- DOI: 10.1155/2013/653261
Management of root fracture: a novel, noninvasive treatment approach
Abstract
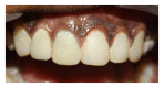
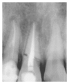
Traumatic injuries to teeth account for approximately 25% of dental conditions where a patient seeks dentist for emergency treatment. Radicular fractures are one such entity which is very challenging to address due to various complications like periodontal communication, increased mobility, and continued pulpal infection leading to necrosis. Radicular fractures in the middle third have long been considered teeth of salvage due to their unfavourable fracture pattern. During the recent years introduction of biomimetic materials has opened the horizon for saving these teeth. In the present case report a novel approach to the management of radicular fractures in the middle third has been presented.
Figures
References
-
- Andreasen FM, Andreasen JO, Cvek M. Root fractures. In: Andreasen FM, Andreasen JO, editors. Textbook and Color Atlas of Traumatic Injuries to Teeth. Copenhagen, Denmark: Blackwell; 2007. pp. 337–371.
-
- Orhan K, Orhan AI, Oz FT. Management of untreated traumatized permanent incisors with crown and root fractures: a case report. Quintessence International. 2009;40(8):647–654. - PubMed
-
- Çalişkan MK, Pehlivan Y. Prognosis of root-fractured permanent incisors. Endodontics and Dental Traumatology. 1996;12(3):129–136. - PubMed
-
- Ingle’s Endodontics-Text Book. 5th edition
LinkOut - more resources
Full Text Sources
Other Literature Sources
