Echocardiographic guidance for diagnostic and therapeutic percutaneous procedures
- PMID: 24282682
- PMCID: PMC3839136
- DOI: 10.3978/j.issn.2223-3652.2011.09.02
Echocardiographic guidance for diagnostic and therapeutic percutaneous procedures
Abstract
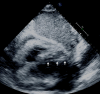
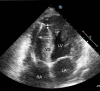
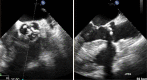
Echocardiographic guidance has an important role in percutaneous cardiovascular procedures and vascular access. The advantages include real time imaging, portability, and availability, which make it an effective imaging modality. This article will review the role of echocardiographic guidance for diagnostic and therapeutic percutaneous procedures, specifically, transvenous and transarterial access, pericardiocentesis, endomyocardial biopsy, transcatheter pulmonary valve replacement, pulmonary valve repair, transcatheter aortic valve implantation, and percutaneous mitral valve repair. We will address the ways in which echocardiographic guidance provides these procedures with detailed information on anatomy, adjacent structures, and intraprocedural instrument position, thus resulting in improvement in procedural efficacy, safety and patient outcomes.
Keywords: Percutaneous cardiovascular procedures; echocardiographic guidance; vascular access.
Figures































References
-
- McGee DC, Gould MK. Preventing complications of central venous catheterization. N Engl J Med 2003;348:1123-33. - PubMed
-
- Merrer J, De Jonghe B, Golliot F, et al. Complications of femoral and subclavian venous catheterization in critically ill patients: a randomized controlled trial. JAMA 2001;286:700-7. - PubMed
-
- Mansfield PF, Hohn DC, Fornage BD, et al. Complications and failures of subclavian-vein catheterization. N Engl J Med 1994;331:1735-8. - PubMed
Publication types
LinkOut - more resources
Full Text Sources
Medical