Is human papillomavirus associated with prostate cancer survival?
- PMID: 24288430
- PMCID: PMC3830784
- DOI: 10.1155/2013/735843
Is human papillomavirus associated with prostate cancer survival?
Abstract
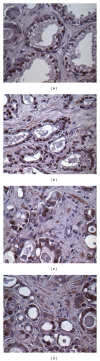
The role of human papillomavirus (HPV) in prostate carcinogenesis is highly controversial: some studies suggest a positive association between HPV infection and an increased risk of prostate cancer (PCa), whereas others do not reveal any correlation. In this study, we investigated the prognostic impact of HPV infection on survival in 150 primary PCa patients. One hundred twelve (74.67%) patients had positive expression of HPV E7 protein, which was evaluated in tumour tissue by immunohistochemistry. DNA analysis on a subset of cases confirmed HPV infection and revealed the presence of genotype 16. In Kaplan-Meier analysis, HPV-positive cancer patients showed worse overall survival (OS) (median 4.59 years) compared to HPV-negative (median 8.24 years, P = 0.0381). In multivariate analysis age (P < 0.001), Gleason score (P < 0.001), nuclear grading (P = 0.002), and HPV status (P = 0.034) were independent prognostic factors for OS. In our cohort, we observed high prevalence of HPV nuclear E7 oncoprotein and an association between HPV infection and PCa survival. In the debate about the oncogenic activity of HPV in PCa, our results further confirm the need for additional studies to clarify the possible role of HPV in prostate carcinogenesis.
Figures



References
Publication types
MeSH terms
Substances
LinkOut - more resources
Full Text Sources
Other Literature Sources
Medical