Chest drainage
- PMID: 24293797
- PMCID: PMC3577621
- DOI: 10.1055/s-0032-1330058
Chest drainage
Abstract
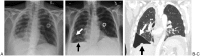
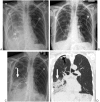
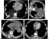
Infectious, traumatic, or neoplastic processes in the chest often result in fluid collections within the pleural, parenchymal, or mediastinal spaces. The same fundamental principles that guide drainages of the abdomen can be applied to the chest. This review discusses various pathologic conditions of the thorax that can result in the abnormal accumulation of fluid or air, and their management using image-guided methods.
Keywords: abscess; empyema; pleural effusion; pneumothorax; thoracentesis; thoracostomy.
Figures








References
-
- Weldon E Williams J Pleural disease in the emergency department Emerg Med Clin North Am 2012302475–499., ix–x - PubMed
-
- Light R W, Macgregor M I, Luchsinger P C, Ball W C Jr. Pleural effusions: the diagnostic separation of transudates and exudates. Ann Intern Med. 1972;77(4):507–513. - PubMed
-
- Heffner J E. Discriminating between transudates and exudates. Clin Chest Med. 2006;27(2):241–252. - PubMed
-
- Light R W. Parapneumonic effusions and empyema. Clin Chest Med. 1985;6(1):55–62. - PubMed
-
- Daniels C E, Ryu J H. Improving the safety of thoracentesis. Curr Opin Pulm Med. 2011;17(4):232–236. - PubMed
Publication types
LinkOut - more resources
Full Text Sources
Medical