Skip to main page content
U.S. flag

An official website of the United States government

Dot gov

The .gov means it’s official.
Federal government websites often end in .gov or .mil. Before sharing sensitive information, make sure you’re on a federal government site.

Https

The site is secure.
The https:// ensures that you are connecting to the official website and that any information you provide is encrypted and transmitted securely.

Access keys NCBI Homepage MyNCBI Homepage Main Content Main Navigation
Review
. 2013 Dec;19(6 Muscle Disease):1615-33.
doi: 10.1212/01.CON.0000440662.26427.bd.

Inflammatory myopathies

Review

Inflammatory myopathies

Anthony A Amato et al. Continuum (Minneap Minn). 2013 Dec.

Abstract

Purpose of review: To discuss the clinical, laboratory, and histopathologic features and presumed pathogenic mechanisms of the four major categories of idiopathic inflammatory myopathy, namely dermatomyositis, polymyositis, immune-mediated necrotizing myopathy, and inclusion body myositis.

Recent findings: Dermatomyositis, polymyositis, necrotizing myopathy, and inclusion body myositis are clinically, histologically, and pathogenically distinct. Polymyositis is a T cell-mediated disorder directed against muscle fibers. The pathogenesis of dermatomyositis, necrotizing myopathy, and inclusion body myositis are unknown. Dermatomyositis, polymyositis, and necrotizing myopathy are generally, but not always, responsive to immunosuppressive therapy, in contrast to inclusion body myositis, which is generally refractory to therapy.

Summary: The pattern of muscle weakness, other clinical features (eg, rash, concurrent interstitial lung disease), laboratory features (creatine kinase, autoantibodies), and muscle biopsies are useful in distinguishing subtypes of inflammatory myopathy and in guiding treatment. More research is necessary to unravel the exact pathogenic bases of these myopathies and identify better treatments.

PubMed Disclaimer

Figures

Figure 5-1.
Figure 5-1.
Dermatomyositis. Macular erythematous rash is seen over the extensor surface of the fingers along with cracked skin (mechanic hands) and nail bed changes.
Figure 5-2.
Figure 5-2.
Dermatomyositis. Muscle biopsy demonstrates classic perifascicular atrophy of muscle fibers (hematoxylin and eosin stain).
Figure 5-3.
Figure 5-3.
Skeletal muscle MRI scan. MRI (T2 with fat saturation) of thighs in a patient with polymyositis reveals increased signal in quadriceps (arrow) and, to a lesser extent, in the hamstrings.
Figure 5-4.
Figure 5-4.
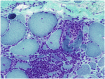
Polymyositis. Muscle biopsy demonstrates endomysial mononuclear inflammatory cell infiltrate surrounding and invading non-necrotic muscle fibers (modified Gomori one-step trichrome stain).
Figure 5-5.
Figure 5-5.
Inclusion body myositis. Skeletal muscle MRI scan of thighs reveals atrophy of muscles and fibrofatty replacement, particularly affecting the vastus lateralis (VL) and vastus medialis (VM) muscles (arrows) with relative sparing of the rectus femoris muscle in between.
Figure 5-6.
Figure 5-6.
Inclusion body myositis. Muscle biopsy reveals muscle fiber with rimmed vacuole and cytoplasmic body inclusions (modified Gomori one-step trichrome stain).
Figure 5-7.
Figure 5-7.
Necrotizing myositis. Muscle biopsy reveals scattered necrotic fibers, some in the process of undergoing phagocytosis. Unlike polymyositis, there is scant, if any, inflammatory cell infiltrate, except in fibers undergoing phagocytosis (hematoxylin and eosin stain).

References

    1. Amato AA,, Barohn RJ. Idiopathic inflammatory myopathies. Neurol Clin 1997; 15 (3): 615–648. - PubMed
    1. Amato AA,, Barohn RJ. Evaluation and treatment of inflammatory myopathies. J Neurol Neurosurg Psychiatry 2009; 80 (10): 1060–1068. - PubMed
    1. Amato AA,, Barohn RJ. Inclusion body myositis: old and new concepts. J Neurol Neurosurg Psychiatry 2009; 80 (11): 1186–1193. - PubMed
    1. Amato AA,, Gronseth GS,, Jackson CE, et al. Inclusion body myositis: clinical and pathological boundaries. Ann Neurol 1996; 40 (4): 581–586. - PubMed
    1. Amato AA,, Russell J. Neuromuscular disease. New York: McGraw-Hill, 2008.

Publication types