Treatment options in patients with chylothorax
- PMID: 24333368
- PMCID: PMC3865492
- DOI: 10.3238/arztebl.2013.0819
Treatment options in patients with chylothorax
Abstract
Background: Chylothorax arises when lymphatic fluid (chyle) accumulates in the pleural cavity because of leakage from lymphatic vessels. It is most commonly seen after thoracic surgery (in 0.5% to 1% of cases) and in association with tumors. No prospective or randomized trials have yet been performed to evaluate the available treatment options.
Method: This review is based on a selective search of the PubMed database for pertinent publications from the years 1995 to 2013. Emphasis was laid on articles that enabled a comparative assessment of treatment options.
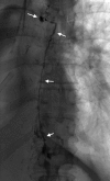
Results: Initial conservative treatment (e.g., parenteral nutrition or a special diet) succeeds in 20% to 80% of cases. When such treatment fails, the standard approach up to the present has been to treat surgically, e.g., with ligation of the thoracic duct, pleurodesis, or a pleuroperitoneal shunt. The success rates of such procedures have ranged from 25% to 95%. Most of the patients undergoing such procedures are severely ill; complication rates as high as 38% have been reported, with mortality as high as 25%. In more recent publications, however, morbidity and mortality were lower. Interventional radiological treatments, such as percutaneous thoracic duct embolization or the percutaneous destruction of lymphatic vessels, succeed in about 70% of cases and lead to healing in up to 80% of cases, even after unsuccessful surgery. The complication rate of percutaneous methods is roughly 3%.
Conclusion: Interventional radiological procedures have now taken their place alongside conservative treatment and surgery in the management of chylothorax, although they are currently available in only a small number of centers.
Figures




References
-
- Hölscher AH, Vallböhmer D, Brabender J. The prevention and management of perioperative complications. Best Practise & Research Clinical Gastroenterology. 2006;20:907–923. - PubMed
-
- Soto-Martinez M, Massie J. Chylothorax: Diagnosis and management in children. Paediatric Respiratory Reviews. 2009;6 - PubMed
-
- Skandalakis JE, Skandalakis LJ, Skandalakis PN. Anatomy of the lymphatics. Surg Oncol Clin N Am. 2007;16:1–16. - PubMed
-
- Ilczyszyn A, Ridha H, Durrani AJ. Management of chyle leak post neck dissection: A case report and literature review. J Plast Reconstr Aesthet Surg. 2011;64:e223–e230. - PubMed
Publication types
MeSH terms
Substances
LinkOut - more resources
Full Text Sources
Other Literature Sources