Skip to main page content
U.S. flag

An official website of the United States government

Dot gov

The .gov means it’s official.
Federal government websites often end in .gov or .mil. Before sharing sensitive information, make sure you’re on a federal government site.

Https

The site is secure.
The https:// ensures that you are connecting to the official website and that any information you provide is encrypted and transmitted securely.

Access keys NCBI Homepage MyNCBI Homepage Main Content Main Navigation
Case Reports
. 2013 Dec 12:2013:bcr2013200421.
doi: 10.1136/bcr-2013-200421.

Isolated major aortopulmonary collateral artery in an infant presenting with recurrent lower respiratory tract infection

Affiliations
Case Reports

Isolated major aortopulmonary collateral artery in an infant presenting with recurrent lower respiratory tract infection

Soumya Patra et al. BMJ Case Rep. .
No abstract available

PubMed Disclaimer

Figures

Figure 1
Figure 1
(A and B) Subcostal echocardiography revealing intact inter-atrial septum and inter-ventricular septum.
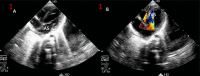
Figure 2
Figure 2
(A) Parasternal short axis and (B) suprasternal view demonstrating major aortopulmonary collateral arteries.
Figure 3
Figure 3
(A) Pulmonary angiogram revealing normal distribution of pulmonary arteries with the presence of major aortopulmonary collateral arteries (MAPCA) arising from descending aorta towards right lung. (B) Aortic angiogram revealing the origin and course of MAPCA.

References

    1. Padhi SS, Bakshi KD, Shastri RK. Multiple coil closure of isolated aortopulmonary collateral. Ann Pediatr Cardiol 2010;3:65–7 - PMC - PubMed
    1. Acherman RJ, Siassi B, Pratti-Madrid G, et al. Systemic to pulmonary collaterals in very low birth weight infants: colour Doppler detection of systemic to pulmonary connections during neonatal and early infancy period. Pediatrics 2000;105:528–32 - PubMed
    1. Holzer R, Ladusans E, Malaiya N. Aorto-pulmonary collateral arteries in a child with trisomy 21. Cardiol Young 2002;12:75–7 - PubMed

Publication types