Laryngeal actinomycosis
- PMID: 24381401
- PMCID: PMC3862130
- DOI: 10.1080/08998280.2014.11929047
Laryngeal actinomycosis
Abstract
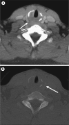
Actinomyces odontolyticus, a component of normal human flora, has been implicated in cervicofacial actinomycosis, which most commonly involves the perimandibular soft tissues and is characterized by slowly progressive abscess and sinus tract formation. Actinomycosis has rarely been reported to involve the larynx, and the imaging findings of laryngeal involvement have not been reported. We present a case of laryngeal actinomycosis with findings on computed tomography, magnetic resonance imaging, and positron emission tomography.
Figures


References
-
- Smego RA, Foglia G. Actinomycosis. Clin Infect Dis. 1998;26(6):1255–1261. - PubMed
-
- Rankow RM, Abraham DM. Actinomycosis: masquerader in the head and neck. Ann Otol Rhinol Laryngol. 1978;87(2 Pt 1):230–237. - PubMed
-
- Allen HA, 3rd, Scatarige JC, Kim MH. Actinomycosis: CT findings in six patients. AJR Am J Roentgenol. 1987;149(6):1255–1258. - PubMed
Publication types
LinkOut - more resources
Full Text Sources
Other Literature Sources